别名:CSN3; SGN3应用:WB,IHC
反应种属:Human, Mouse, Rat
规格:50μl/100μl
| Description |
|---|
| The protein encoded by this gene possesses kinase activity that phosphorylates regulators involved in signal transduction. It phosphorylates I kappa-Balpha, p105, and c-Jun. It acts as a docking site for complex-mediated phosphorylation. The gene is located within the Smith-Magenis syndrome region on chromosome 17. Several transcript variants encoding different isoforms have been found for this gene. |
| Specification | |
|---|---|
| Aliases | CSN3; SGN3 |
| Swissprot | Q9UNS2 |
| WB Predicted band size | 48 kDa |
| Host/Isotype | Rabbit IgG |
| Storage | Store at 4°C short term. Aliquot and store at -20°C long term. Avoid freeze/thaw cycles. |
| Species Reactivity | Human, Mouse, Rat |
| Immunogen | Fusion protein of human COPS3 |
| Formulation | pH7.4 PBS, 0.05% NaN3, 40% Glycerol |
| Application | |
|---|---|
| WB | 1/200-1/1000 |
| IHC | 1/50-1/300 |
| ELISA | 1/5000-1/10000 |
![]() |
Gel: 8%SDS-PAGE, Lysate: 40 μg, Lane: NIH/3T3 cell lysate, Primary antibody: P03151(COPS3 Antibody) at dilution 1/350, Secondary antibody: Goat anti rabbit IgG at 1/5000 dilution, Exposure time: 5 seconds |
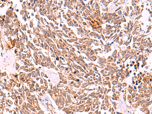
![]() |
The image is immunohistochemistry of paraffin-embedded Human lung cancer tissue using P03151(COPS3 Antibody) at dilution 1/50. (Original magnification: ×200) |
本公司的所有产品仅用于科学研究或者工业应用等非医疗目的,不可用于人类或动物的临床诊断或治疗,非药用,非食用。
暂无评论
本公司的所有产品仅用于科学研究或者工业应用等非医疗目的,不可用于人类或动物的临床诊断或治疗,非药用,非食用。
中文


发表回复