别名:2-methoxy-6-polyprenyl-1,4-benzoquinol methylase, mitochondrial, Ubiquinone biosynthesis methyltransferase COQ5, COQ5应用:WB,IHC
反应种属:Human, Mouse
规格:50μl/100μl
| Specification | |
|---|---|
| Aliases | 2-methoxy-6-polyprenyl-1,4-benzoquinol methylase, mitochondrial, Ubiquinone biosynthesis methyltransferase COQ5, COQ5 |
| Entrez GeneID | 84274 |
| Swissprot | Q5HYK3 |
| WB Predicted band size | 37.1kDa |
| Host/Isotype | Rabbit IgG |
| Storage | Store at 4°C short term. Aliquot and store at -20°C long term. Avoid freeze/thaw cycles. |
| Species Reactivity | Human, Mouse |
| Immunogen | This COQ5 antibody is generated from rabbits immunized with a KLH conjugated synthetic peptide between 213-241 amino acids from the Central region of human COQ5. |
| Formulation | Purified polyclonal antibody supplied in PBS with 0.05% sodium azide. This antibody is purified through a protein A column, followed by peptide affinity purification. |
| Application | |
|---|---|
| WB | 1/1000 |
| IHC | 1/100-1/500 |
![]() |
Western blot analysis of COQ5 Antibody (Center) (Cat. #P30490) in mouse heart tissue lysates (35ug/lane). COQ5 (arrow) was detected using the purified Pab. |
![]() |
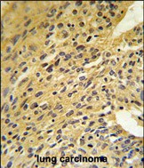
COQ5 Antibody (Center) (Cat. #P30490) IHC analysis in formalin fixed and paraffin embedded human lung carcinoma followed by peroxidase conjugation of the secondary antibody and DAB staining. This data demonstrates the use of the COQ5 Antibody (Center) for immunohistochemistry. Clinical relevance has not been evaluated. |
本公司的所有产品仅用于科学研究或者工业应用等非医疗目的,不可用于人类或动物的临床诊断或治疗,非药用,非食用。
暂无评论
本公司的所有产品仅用于科学研究或者工业应用等非医疗目的,不可用于人类或动物的临床诊断或治疗,非药用,非食用。
中文


发表回复