别名:Ubiquinone biosynthesis protein COQ9, mitochondrial, COQ9, C16orf49应用:WB,IHC,FCM
反应种属:Human, Mouse
规格:50μl/100μl
| Description |
|---|
| Coenzyme Q10 (CoQ10), or ubiquinone, is a mobile lipophilic electron carrier critical for electron transfer by the mitochondrial inner membrane respiratory chain. COQ9 is 1 of several enzymes involved in biosynthesis of CoQ10 and likely functions in modification of the benzoquinone ring. |
| Specification | |
|---|---|
| Aliases | Ubiquinone biosynthesis protein COQ9, mitochondrial, COQ9, C16orf49 |
| Entrez GeneID | 57017 |
| Swissprot | O75208 |
| WB Predicted band size | 35.5kDa |
| Host/Isotype | Rabbit IgG |
| Storage | Store at 4°C short term. Aliquot and store at -20°C long term. Avoid freeze/thaw cycles. |
| Species Reactivity | Human, Mouse |
| Immunogen | This COQ9 antibody is generated from rabbits immunized with a KLH conjugated synthetic peptide between 156-184 amino acids from the Central region of human COQ9. |
| Formulation | Purified polyclonal antibody supplied in PBS with 0.05% sodium azide. This antibody is purified through a protein A column, followed by peptide affinity purification. |
| Application | |
|---|---|
| WB | 1/1000 |
| IHC | 1/100-1/500 |
| FCM | 1/10-1/50 |
![]() |
Western blot analysis of COQ9 Antibody (Center) (Cat. #P30574) in mouse heart tissue lysates (35ug/lane). COQ9 (arrow) was detected using the purified Pab. |
![]() |
COQ9 Antibody (Center) (Cat. #P30574) flow cytometric analysis of NCI-H460 cells (right histogram) compared to a negative control cell (left histogram).FITC-conjugated goat-anti-rabbit secondary antibodies were used for the analysis. |
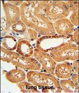
![]() |
COQ9 Antibody (Center) (Cat. #P30574) immunohistochemistry analysis in formalin fixed and paraffin embedded human lung tissue followed by peroxidase conjugation of the secondary antibody and DAB staining. This data demonstrates the use of the COQ9 Antibody (Center) for immunohistochemistry. Clinical relevance has not been evaluated. |
本公司的所有产品仅用于科学研究或者工业应用等非医疗目的,不可用于人类或动物的临床诊断或治疗,非药用,非食用。
暂无评论
本公司的所有产品仅用于科学研究或者工业应用等非医疗目的,不可用于人类或动物的临床诊断或治疗,非药用,非食用。
中文



发表回复