别名:IR10; WDR2; CLIPINB应用:IHC
反应种属:Human
规格:50μl/100μl
| Description |
|---|
| This gene encodes a member of the WD repeat protein family. WD repeats are minimally conserved regions of approximately 40 amino acids typically bracketed by gly-his and trp-asp (GH-WD), which may facilitate formation of heterotrimeric or multiprotein complexes. Members of this family are involved in a variety of cellular processes, including cell cycle progression, signal transduction, apoptosis, and gene regulation. This protein contains 5 WD repeats, and has a structural similarity with actin-binding proteins: the D. discoideum coronin and the human p57 protein, suggesting that this protein may also be an actin-binding protein that regulates cell motility. Alternative splicing of this gene generates 2 transcript variants. |
| Specification | |
|---|---|
| Aliases | IR10; WDR2; CLIPINB |
| Swissprot | Q92828 |
| Host/Isotype | Rabbit IgG |
| Storage | Store at 4°C short term. Aliquot and store at -20°C long term. Avoid freeze/thaw cycles. |
| Species Reactivity | Human |
| Immunogen | Fusion protein of human CORO2A |
| Formulation | pH7.4 PBS, 0.05% NaN3, 40% Glycerol |
| Application | |
|---|---|
| IHC | 1/30-1/150 |
| ELISA | 1/5000-1/10000 |
![]() |
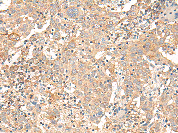
The image is immunohistochemistry of paraffin-embedded Human colorectal cancer tissue using P02770(CORO2A Antibody) at dilution 1/30. (Original magnification: ×200) |
![]() |
The image is immunohistochemistry of paraffin-embedded Human cervical cancer tissue using P02770(CORO2A Antibody) at dilution 1/30. (Original magnification: ×200) |
本公司的所有产品仅用于科学研究或者工业应用等非医疗目的,不可用于人类或动物的临床诊断或治疗,非药用,非食用。
暂无评论
本公司的所有产品仅用于科学研究或者工业应用等非医疗目的,不可用于人类或动物的临床诊断或治疗,非药用,非食用。
中文


发表回复