别名:CLIPINC应用:WB,IHC
反应种属:Human, Mouse
规格:50μl/100μl
| Description |
|---|
| Coronins are a family of WD repeat-containing, actin-binding proteins that localize to submembraneous areas and regulate cell motility and cytoskeletal rearrangement. Coronin 1A (CORO1A, CLIPINA, CLABP, TACO, p57) can form coiled coil-mediated homotrimeric complexes that influence early phagosome formation. PKC-dependent phosphorylation of Coronin 1B (CORO1B) at Serine 2 regulates leading edge dynamics and cell motility in fibroblasts through interactions with Arp2/3 complex. Coronin 1C (CORO1C, Coronin 3, HCRNN4) is abundant in differentiating Neuro-2a cells, PC-12 cells and primary oligodendrocytes, where it is thought to influence neuron morphogenesis and migration. Coronin 2A (CORO2A, CLIPINB, IR10, WDR2) is a component of the approximately 1.5-2 megadalton N-CoR (nuclear receptor corepressor) complex of 10-12 proteins, which recruits HDACs to generate repressive chromatin. Coronin 7 (CORO7, CRN7) localizes to the Golgi membrane and influences the organization of intracellular membrane compartments and vesicular trafficking. Coronin 2B (CORO2B, CLIPINC) and Coronin 6 (CORO6) are similar to other members of this family, since they possess a conserved basic N-terminal motif and 3-10 WD repeats clustered in one to two core domains. |
| Specification | |
|---|---|
| Aliases | CLIPINC |
| Swissprot | Q9UQ03 |
| WB Predicted band size | 55 kDa |
| Host/Isotype | Rabbit IgG |
| Storage | Store at 4°C short term. Aliquot and store at -20°C long term. Avoid freeze/thaw cycles. |
| Species Reactivity | Human, Mouse |
| Immunogen | Synthetic peptide of human CORO2B |
| Formulation | pH7.4 PBS, 0.05% NaN3, 40% Glycerol |
| Application | |
|---|---|
| WB | 1/1000-1/5000 |
| IHC | 1/40-1/200 |
| ELISA | 1/5000-1/10000 |
![]() |
Gel: 8%SDS-PAGE, Lysate: 40 μg, Lane 1-2: Mouse brain tissue, NIH/3T3 cell lysates, Primary antibody: P13168(CORO2B Antibody) at dilution 1/1000, Secondary antibody: Goat anti rabbit IgG at 1/8000 dilution, Exposure time: 20 seconds |
![]() |
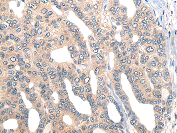
The image is immunohistochemistry of paraffin-embedded Human liver cancer tissue using P13168(CORO2B Antibody) at dilution 1/50. (Original magnification: ×200) |
本公司的所有产品仅用于科学研究或者工业应用等非医疗目的,不可用于人类或动物的临床诊断或治疗,非药用,非食用。
暂无评论
本公司的所有产品仅用于科学研究或者工业应用等非医疗目的,不可用于人类或动物的临床诊断或治疗,非药用,非食用。
中文


发表回复