别名:Cytochrome c oxidase subunit 6A1, mitochondrial, Cytochrome c oxidase polypeptide VIa-liver, Cytochrome c oxidase subunit VIA-liver, COX VIa-L, COX6A1, COX6AL应用:WB,IHC,FCM
反应种属:Human
规格:50μl/100μl
| Description |
|---|
| This protein is one of the nuclear-coded polypeptide chains of cytochrome c oxidase, the terminal oxidase in mitochondrial electron transport. |
| Specification | |
|---|---|
| Aliases | Cytochrome c oxidase subunit 6A1, mitochondrial, Cytochrome c oxidase polypeptide VIa-liver, Cytochrome c oxidase subunit VIA-liver, COX VIa-L, COX6A1, COX6AL |
| Entrez GeneID | 1337 |
| Swissprot | P12074 |
| WB Predicted band size | 12.2kDa |
| Host/Isotype | Rabbit IgG |
| Storage | Store at 4°C short term. Aliquot and store at -20°C long term. Avoid freeze/thaw cycles. |
| Species Reactivity | Human |
| Immunogen | This COX6A1 antibody is generated from rabbits immunized with a KLH conjugated synthetic peptide between 50-78 amino acids from the Central region of human COX6A1. |
| Formulation | Purified polyclonal antibody supplied in PBS with 0.05% sodium azide. This antibody is purified through a protein A column, followed by peptide affinity purification. |
| Application | |
|---|---|
| WB | 1/1000 |
| IHC | 1/100-1/500 |
| FCM | 1/10-1/50 |
![]() |
Western blot analysis of COX6A1 Antibody (Center) (Cat. #P30462) in MDA-MB435 cell line lysates (35ug/lane). COX6A1 (arrow) was detected using the purified Pab. |
![]() |
Western blot analysis of COX6A1 (arrow) using rabbit polyclonal COX6A1 Antibody (Center) (Cat. #P30462). 293 cell lysates (2 ug/lane) either nontransfected (Lane 1) or transiently transfected (Lane 2) with the COX6A1 gene. |
![]() |
COX6A1 Antibody (Center) (Cat.#P30462) FC analysis of ZR-75-1 cells (bottom histogram) compared to a negative control cell (top histogram). FITC-conjugated goat-anti-rabbit secondary antibodies were used for the analysis. |
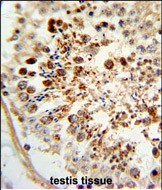
![]() |
Formalin-fixed and paraffin-embedded human testis tissue reacted with COX6A1 Antibody (Center), which was peroxidase-conjugated to the secondary antibody, followed by DAB staining. This data demonstrates the use of this antibody for immunohistochemistry; clinical relevance has not been evaluated. |
本公司的所有产品仅用于科学研究或者工业应用等非医疗目的,不可用于人类或动物的临床诊断或治疗,非药用,非食用。
暂无评论
本公司的所有产品仅用于科学研究或者工业应用等非医疗目的,不可用于人类或动物的临床诊断或治疗,非药用,非食用。
中文




发表回复