别名:COXG; COX6B; MC4DN7; COXVIb1应用:WB,IHC
反应种属:Human, Mouse
规格:50μl/100μl
| Description |
|---|
| Cytochrome c oxidase (COX), the terminal enzyme of the mitochondrial respiratory chain, catalyzes the electron transfer from reduced cytochrome c to oxygen. It is a heteromeric complex consisting of 3 catalytic subunits encoded by mitochondrial genes and multiple structural subunits encoded by nuclear genes. The mitochondrially-encoded subunits function in electron transfer, and the nuclear-encoded subunits may be involved in the regulation and assembly of the complex. This nuclear gene encodes subunit VIb. Mutations in this gene are associated with severe infantile encephalomyopathy. Three pseudogenes COX6BP-1, COX6BP-2 and COX6BP-3 have been found on chromosomes 7, 17 and 22q13.1-13.2, respectively. |
| Specification | |
|---|---|
| Aliases | COXG; COX6B; MC4DN7; COXVIb1 |
| Swissprot | P14854 |
| WB Predicted band size | 10 kDa |
| Host/Isotype | Rabbit IgG |
| Storage | Store at 4°C short term. Aliquot and store at -20°C long term. Avoid freeze/thaw cycles. |
| Species Reactivity | Human, Mouse |
| Immunogen | Fusion protein of human COX6B1 |
| Formulation | pH7.4 PBS, 0.05% NaN3, 40% Glycerol |
| Application | |
|---|---|
| WB | 1/500-1/2000 |
| IHC | 1/50-1/200 |
| ELISA | 1/5000-1/10000 |
![]() |
Gel: 12%SDS-PAGE, Lysate: 40 μg, Lane 1-2: LOVO and HepG2 cell lysates, Primary antibody: P07020(COX6B1 Antibody) at dilution 1/1000, Secondary antibody: Goat anti rabbit IgG at 1/5000 dilution, Exposure time: 2 minutes |
![]() |
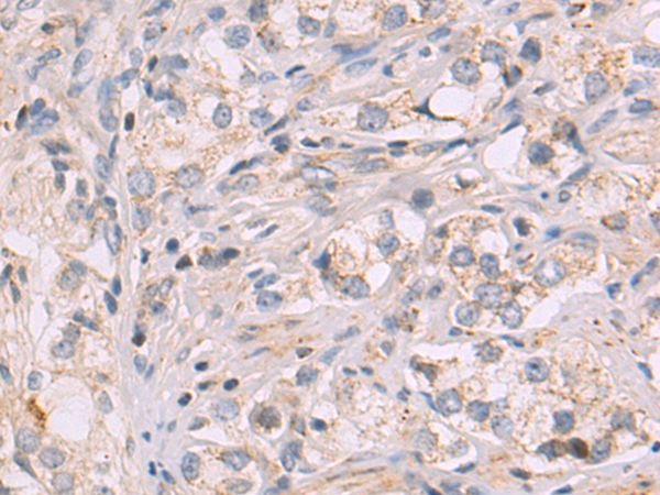
The image is immunohistochemistry of paraffin-embedded Human prostate cancer tissue using P07020(COX6B1 Antibody) at dilution 1/95. (Original magnification: ×200) |
![]() |
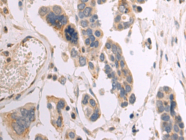
The image is immunohistochemistry of paraffin-embedded Human colorectal cancer tissue using P07020(COX6B1 Antibody) at dilution 1/95. (Original magnification: ×200) |
本公司的所有产品仅用于科学研究或者工业应用等非医疗目的,不可用于人类或动物的临床诊断或治疗,非药用,非食用。
暂无评论
本公司的所有产品仅用于科学研究或者工业应用等非医疗目的,不可用于人类或动物的临床诊断或治疗,非药用,非食用。
中文



发表回复