别名:VIIAL; COX7AL; COX7AL1; COXVIIAL; COXVIIa-L应用:WB,IHC
反应种属:Human, Mouse, Rat
规格:50μl/100μl
| Description |
|---|
| Cytochrome c oxidase, the terminal component of the mitochondrial respiratory chain, catalyzes the electron transfer from reduced cytochrome c to oxygen. This component is a heteromeric complex consisting of three catalytic subunits encoded by mitochondrial genes, and multiple structural subunits encoded by nuclear genes. The mitochondrially-encoded subunits function in electron transfer, while the nuclear-encoded subunits may function in the regulation and assembly of the complex. This nuclear gene encodes polypeptide 2 (liver isoform) of subunit VIIa, with this polypeptide being present in both muscle and non-muscle tissues. In addition to polypeptide 2, subunit VIIa includes polypeptide 1 (muscle isoform), which is present only in muscle tissues, and a related protein, which is present in all tissues. Alternative splicing results in multiple transcript variants. Related pseudogenes have been identified on chromosomes 4 and 14. |
| Specification | |
|---|---|
| Aliases | VIIAL; COX7AL; COX7AL1; COXVIIAL; COXVIIa-L |
| Swissprot | P14406 |
| WB Predicted band size | 9 kDa |
| Host/Isotype | Rabbit IgG |
| Storage | Store at 4°C short term. Aliquot and store at -20°C long term. Avoid freeze/thaw cycles. |
| Species Reactivity | Human, Mouse, Rat |
| Immunogen | Synthetic peptide of human COX7A2 |
| Formulation | pH7.4 PBS, 0.05% NaN3, 40% Glycerol |
| Application | |
|---|---|
| WB | 1/200-1/1000 |
| IHC | 1/25-1/50 |
| ELISA | 1/5000-1/10000 |
![]() |
Gel: 12%SDS-PAGE, Lysate: 40 μg, Lane: Hela cell lysate, Primary antibody: P06868(COX7A2 Antibody) at dilution 1/500, Secondary antibody: Goat anti rabbit IgG at 1/5000 dilution, Exposure time: 30 seconds |
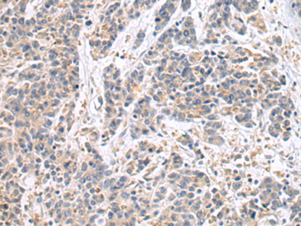
![]() |
The image is immunohistochemistry of paraffin-embedded Human colorectal cancer tissue using P06868(COX7A2 Antibody) at dilution 1/20. (Original magnification: ×200) |
本公司的所有产品仅用于科学研究或者工业应用等非医疗目的,不可用于人类或动物的临床诊断或治疗,非药用,非食用。
暂无评论
本公司的所有产品仅用于科学研究或者工业应用等非医疗目的,不可用于人类或动物的临床诊断或治疗,非药用,非食用。
中文


发表回复