别名:EB1; SIG81; COX7AR; COX7RP应用:IHC
反应种属:Human
规格:50μl/100μl
| Description |
|---|
| Cytochrome c oxidase (COX), the terminal component of the mitochondrial respiratory chain, catalyzes the electron transfer from reduced cytochrome c to oxygen. This component is a heteromeric complex consisting of 3 catalytic subunits encoded by mitochondrial genes and multiple structural subunits encoded by nuclear genes. The mitochondrially-encoded subunits function in electron transfer, and the nuclear-encoded subunits may function in the regulation and assembly of the complex. This nuclear gene encodes a protein similar to polypeptides 1 and 2 of subunit VIIa in the C-terminal region, and also highly similar to the mouse Sig81 protein sequence. This gene is expressed in all tissues, and upregulated in a breast cancer cell line after estrogen treatment. It is possible that this gene represents a regulatory subunit of COX and mediates the higher level of energy production in target cells by estrogen. |
| Specification | |
|---|---|
| Aliases | EB1; SIG81; COX7AR; COX7RP |
| Swissprot | O14548 |
| Host/Isotype | Rabbit IgG |
| Storage | Store at 4°C short term. Aliquot and store at -20°C long term. Avoid freeze/thaw cycles. |
| Species Reactivity | Human |
| Immunogen | Synthetic peptide of human COX7A2L |
| Formulation | pH7.4 PBS, 0.05% NaN3, 40% Glycerol |
| Application | |
|---|---|
| IHC | 1/25-1/100 |
| ELISA | 1/2000-1/5000 |
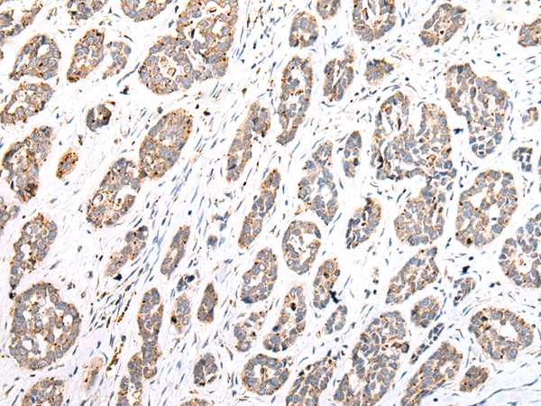
![]() |
The image is immunohistochemistry of paraffin-embedded Human breast cancer tissue using P05666(COX7A2L Antibody) at dilution 1/35. (Original magnification: ×200) |
![]() |
The image is immunohistochemistry of paraffin-embedded Human esophagus cancer tissue using P05666(COX7A2L Antibody) at dilution 1/35. (Original magnification: ×200) |
本公司的所有产品仅用于科学研究或者工业应用等非医疗目的,不可用于人类或动物的临床诊断或治疗,非药用,非食用。
暂无评论
本公司的所有产品仅用于科学研究或者工业应用等非医疗目的,不可用于人类或动物的临床诊断或治疗,非药用,非食用。
中文


发表回复