别名:EB1; SCAF1; SCAFI; SIG81; COX7AR; COX7RP应用:WB,IHC
反应种属:Human, Mouse
规格:50μl/100μl
| Description |
|---|
| Cytochrome c oxidase (COX), the terminal component of the mitochondrial respiratory chain, catalyzes the electron transfer from reduced cytochrome c to oxygen. This component is a heteromeric complex consisting of 3 catalytic subunits encoded by mitochondrial genes and multiple structural subunits encoded by nuclear genes. The mitochondrially-encoded subunits function in electron transfer, and the nuclear-encoded subunits may function in the regulation and assembly of the complex. This nuclear gene encodes a protein similar to polypeptides 1 and 2 of subunit VIIa in the C-terminal region, and also highly similar to the mouse Sig81 protein sequence. This gene is expressed in all tissues, and upregulated in a breast cancer cell line after estrogen treatment. It is possible that this gene represents a regulatory subunit of COX and mediates the higher level of energy production in target cells by estrogen. Several transcript variants, some protein-coding and others non-protein coding, have been found for this gene. |
| Specification | |
|---|---|
| Aliases | EB1; SCAF1; SCAFI; SIG81; COX7AR; COX7RP |
| Swissprot | O14548 |
| WB Predicted band size | 13 kDa |
| Host/Isotype | Rabbit IgG |
| Storage | Store at 4°C short term. Aliquot and store at -20°C long term. Avoid freeze/thaw cycles. |
| Species Reactivity | Human, Mouse |
| Immunogen | Fusion protein of human COX7A2L |
| Formulation | pH7.4 PBS, 0.05% NaN3, 40% Glycerol |
| Application | |
|---|---|
| WB | 1/500-1/2000 |
| IHC | 1/50-1/200 |
| ELISA | 1/5000-1/10000 |
![]() |
Gel: 12%SDS-PAGE, Lysate: 40 μg, Lane 1-4: A549, HepG2, Hela, RAW264.7 cell lysates, Primary antibody: P07217(COX7A2L Antibody) at dilution 1/550, Secondary antibody: Goat anti rabbit IgG at 1/5000 dilution, Exposure time: 15 seconds |
![]() |
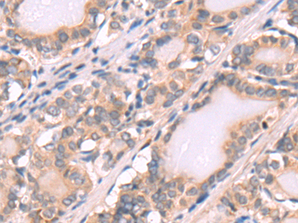
The image is immunohistochemistry of paraffin-embedded Human thyroid cancer tissue using P07217(COX7A2L Antibody) at dilution 1/65. (Original magnification: ×200) |
![]() |
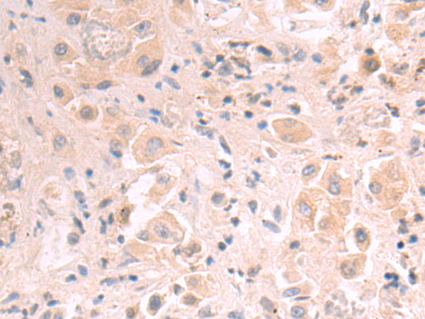
The image is immunohistochemistry of paraffin-embedded Human liver cancer tissue using P07217(COX7A2L Antibody) at dilution 1/65. (Original magnification: ×200) |
本公司的所有产品仅用于科学研究或者工业应用等非医疗目的,不可用于人类或动物的临床诊断或治疗,非药用,非食用。
暂无评论
本公司的所有产品仅用于科学研究或者工业应用等非医疗目的,不可用于人类或动物的临床诊断或治疗,非药用,非食用。
中文



发表回复