别名:UPF0585 protein C16orf13, C16orf13应用:WB,IHC
反应种属:Human, Hamster
规格:50μl/100μl
| Specification | |
|---|---|
| Aliases | UPF0585 protein C16orf13, C16orf13 |
| Entrez GeneID | 84326 |
| Swissprot | Q96S19 |
| WB Predicted band size | 22.6kDa |
| Host/Isotype | Rabbit IgG |
| Storage | Store at 4°C short term. Aliquot and store at -20°C long term. Avoid freeze/thaw cycles. |
| Species Reactivity | Human, Hamster |
| Immunogen | This CP013 antibody is generated from rabbits immunized with a KLH conjugated synthetic peptide between 1-30 amino acids from the N-terminal region of human CP013. |
| Formulation | Purified polyclonal antibody supplied in PBS with 0.05% sodium azide. This antibody is purified through a protein A column, followed by peptide affinity purification. |
| Application | |
|---|---|
| WB | 1/1000 |
| IHC | 1/100-1/500 |
![]() |
CP013 Antibody (N-term) (Cat. #P30893) western blot analysis in CHO cell line lysates (35ug/lane).This demonstrates the CP013 antibody detected the CP013 protein (arrow). |
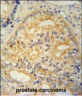
![]() |
CP013 antibody (N-term) (Cat. #P30893) immunohistochemistry analysis in formalin fixed and paraffin embedded human prostate carcinoma followed by peroxidase conjugation of the secondary antibody and DAB staining. This data demonstrates the use of the CP013 antibody (N-term) for immunohistochemistry. Clinical relevance has not been evaluated. |
本公司的所有产品仅用于科学研究或者工业应用等非医疗目的,不可用于人类或动物的临床诊断或治疗,非药用,非食用。
暂无评论
本公司的所有产品仅用于科学研究或者工业应用等非医疗目的,不可用于人类或动物的临床诊断或治疗,非药用,非食用。
中文


发表回复