别名:EFCAB4B应用:WB,IHC
反应种属:Human
规格:50μl/100μl
| Description |
|---|
| Ca2+-binding protein that plays a key role in store-operated Ca2+ entry (SOCE) in T-cells by regulating CRAC channel activation. Acts as a cytoplasmic calcium-sensor that facilitates the clustering of ORAI1 and STIM1 at the junctional regions between the plasma membrane and the endoplasmic reticulum upon low Ca2+concentration. It thereby regulates CRAC channel activation, including translocation and clustering of ORAI1 and STIM1. Upon increase of cytoplasmic Ca2+resulting from opening of CRAC channels, dissociates from ORAI1 and STIM1, thereby destabilizing the ORAI1-STIM1 complex. |
| Specification | |
|---|---|
| Aliases | EFCAB4B |
| Swissprot | Q9BSW2 |
| WB Predicted band size | 46 kDa |
| Host/Isotype | Rabbit IgG |
| Storage | Store at 4°C short term. Aliquot and store at -20°C long term. Avoid freeze/thaw cycles. |
| Species Reactivity | Human |
| Immunogen | Fusion protein of human CRACR2A |
| Formulation | pH7.4 PBS, 0.05% NaN3, 40% Glycerol |
| Application | |
|---|---|
| WB | 1/500-1/2000 |
| IHC | 1/150-1/300 |
| ELISA | 1/5000-1/10000 |
![]() |
Gel: 8%SDS-PAGE, Lysate: 40 μg, Lane: 293T cell lysate, Primary antibody: P03428(CRACR2A Antibody) at dilution 1/900, Secondary antibody: Goat anti rabbit IgG at 1/5000 dilution, Exposure time: 1 minute |
![]() |
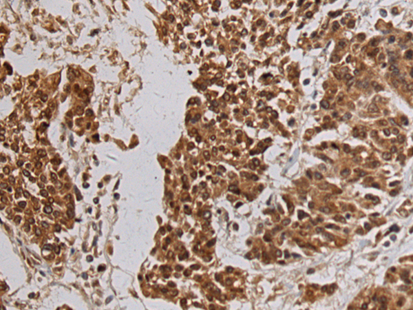
The image is immunohistochemistry of paraffin-embedded Human colorectal cancer tissue using P03428(CRACR2A Antibody) at dilution 1/105. (Original magnification: ×200) |
本公司的所有产品仅用于科学研究或者工业应用等非医疗目的,不可用于人类或动物的临床诊断或治疗,非药用,非食用。
暂无评论
本公司的所有产品仅用于科学研究或者工业应用等非医疗目的,不可用于人类或动物的临床诊断或治疗,非药用,非食用。
中文


发表回复