别名:Cysteine-rich protein 1, CRP-1, Cysteine-rich heart protein, CRHP, hCRHP, Cysteine-rich intestinal protein, CRIP, CRIP1, CRIP, CRP1应用:WB,IHC,FCM
反应种属:Human
规格:50μl/100μl
| Description |
|---|
| Cysteine-rich intestinal protein (CRIP) belongs to the LIM/double zinc finger protein family, members of which include cysteine- and glycine-rich protein-1 (CSRP1; MIM 123876), rhombotin-1 (RBTN1; MIM 186921), rhombotin-2 (RBTN2; MIM 180385), and rhombotin-3 (RBTN3; MIM 180386). CRIP may be involved in intestinal zinc transport. |
| Specification | |
|---|---|
| Aliases | Cysteine-rich protein 1, CRP-1, Cysteine-rich heart protein, CRHP, hCRHP, Cysteine-rich intestinal protein, CRIP, CRIP1, CRIP, CRP1 |
| Entrez GeneID | 1396 |
| Swissprot | P50238 |
| WB Predicted band size | 8.5kDa |
| Host/Isotype | Rabbit IgG |
| Storage | Store at 4°C short term. Aliquot and store at -20°C long term. Avoid freeze/thaw cycles. |
| Species Reactivity | Human |
| Immunogen | This CRIP1 antibody is generated from rabbits immunized with a KLH conjugated synthetic peptide between 48-77 amino acids from the C-terminal region of human CRIP1. |
| Formulation | Purified polyclonal antibody supplied in PBS with 0.05% sodium azide. This antibody is purified through a protein A column, followed by peptide affinity purification. |
| Application | |
|---|---|
| WB | 1/8000 |
| IHC | 1/100-1/500 |
| FCM | 1/10-1/50 |
![]() |
All lanes : Anti-CRIP1 Antibody (C-term) at 1:8000 dilution Lane 1: T47D whole cell lysate Lane 2: THP-1 whole cell lysate Lysates/proteins at 20 µg per lane. Secondary Predicted band size : 9 kDa Blocking/Dilution buffer: 5% NFDM/TBST. |
![]() |
CRIP1 Antibody (C-term) (Cat. #P33441) flow cytometric analysis of HL-60 cells (right histogram) compared to a negative control cell (left histogram).FITC-conjugated goat-anti-rabbit secondary antibodies were used for the analysis. |
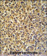
![]() |
CRIP1 Antibody (C-term) (Cat. #P33441) IHC analysis in formalin fixed and paraffin embedded bladder carcinoma followed by peroxidase conjugation of the secondary antibody and DAB staining. This data demonstrates the use of the CRIP1 Antibody (C-term) for immunohistochemistry. Clinical relevance has not been evaluated. |
本公司的所有产品仅用于科学研究或者工业应用等非医疗目的,不可用于人类或动物的临床诊断或治疗,非药用,非食用。
暂无评论
本公司的所有产品仅用于科学研究或者工业应用等非医疗目的,不可用于人类或动物的临床诊断或治疗,非药用,非食用。
中文



发表回复