别名:PTGDR2; CRTH2; DL1R; GPR44; Prostaglandin D2 receptor 2; Chemoattractant receptor-homologous molecule expressed on Th2 cells; G-protein coupled receptor 44; CD294应用:WB,IHC
反应种属:Human,Mouse
规格:50μl/100μl
| Description |
|---|
| Receptor for prostaglandin D2 (PGD2). |
| Specification | |
|---|---|
| Aliases | PTGDR2; CRTH2; DL1R; GPR44; Prostaglandin D2 receptor 2; Chemoattractant receptor-homologous molecule expressed on Th2 cells; G-protein coupled receptor 44; CD294 |
| Entrez GeneID | 11251 |
| Swissprot | Q9Y5Y4 |
| WB Predicted band size | Calculated MW: 43 kDa; Observed MW: 43 kDa |
| Host/Isotype | Rabbit IgG |
| Storage | Store at 4°C short term. Aliquot and store at -20°C long term. Avoid freeze/thaw cycles. |
| Species Reactivity | Human,Mouse |
| Immunogen | The antiserum was produced against synthesized peptide derived from the Internal region of human PTGDR2. AA range:161-210 |
| Formulation | Liquid in PBS containing 50% glycerol, 0.5% BSA and 0.02% sodium azide, pH 7.3. |
| Application | |
|---|---|
| WB | 1/500-1/1000 |
| IHC | 1/50-1/100 |
| ELISA | 1/10000 |
![]() |
Western blot analysis of CRTH2 in 293 lysates using CRTH2 antibody. |
![]() |
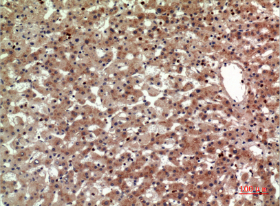
Immunohistochemistry analysis of paraffin-embedded Human liver using CRTH2 antibody.High-pressure and temperature Sodium Citrate pH 6.0 was used for antigen retrieval. |
![]() |
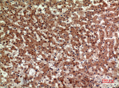
Immunohistochemistry analysis of paraffin-embedded Human liver using CRTH2 antibody. High-pressure and temperature Sodium Citrate pH 6.0 was used for antigen retrieval. |
本公司的所有产品仅用于科学研究或者工业应用等非医疗目的,不可用于人类或动物的临床诊断或治疗,非药用,非食用。
暂无评论
本公司的所有产品仅用于科学研究或者工业应用等非医疗目的,不可用于人类或动物的临床诊断或治疗,非药用,非食用。
中文



发表回复