别名:Granulocyte-macrophage colony-stimulating factor, GM-CSF, Colony-stimulating factor, CSF, Molgramostin, Sargramostim, CSF2, GMCSF应用:WB,IHC,ICC,FCM
反应种属:Human
规格:50μl/100μl
| Description |
|---|
| CSF2 is a cytokine that controls the production, differentiation, and function of granulocytes and macrophages. The active form of the protein is found extracellularly as a homodimer. This gene has been localized to a cluster of related genes at chromosome region 5q31, which is known to be associated with interstitial deletions in the 5q- syndrome and acute myelogenous leukemia. Other genes in the cluster include those encoding interleukins 4, 5, and 13. [provided by RefSeq]. |
| Specification | |
|---|---|
| Aliases | Granulocyte-macrophage colony-stimulating factor, GM-CSF, Colony-stimulating factor, CSF, Molgramostin, Sargramostim, CSF2, GMCSF |
| Entrez GeneID | 1437 |
| Swissprot | P04141 |
| WB Predicted band size | 16.3kDa |
| Host/Isotype | Rabbit IgG |
| Storage | Store at 4°C short term. Aliquot and store at -20°C long term. Avoid freeze/thaw cycles. |
| Species Reactivity | Human |
| Immunogen | This CSF2 antibody is generated from rabbits immunized with a KLH conjugated synthetic peptide between 59-85 amino acids from the Central region of human CSF2. |
| Formulation | Purified polyclonal antibody supplied in PBS with 0.05% sodium azide. This antibody is purified through a protein A column, followed by peptide affinity purification. |
| Application | |
|---|---|
| WB | 1/1000 |
| IHC | 1/100-1/500 |
| ICC | 1/10-1/50 |
| FCM | 1/10-1/50 |
![]() |
CSF2 Antibody (Center) (Cat. #P30830) western blot analysis in HL60 cell line lysates (35ug/lane).This demonstrates the CSF2 antibody detected the CSF2 protein (arrow). |
![]() |
Confocal immunofluorescent analysis of CSF2 Antibody (Center) (Cat#P30830) with 293 cell followed by Alexa Fluor 488-conjugated goat anti-rabbit lgG (green). DAPI was used to stain the cell nuclear (blue). |
![]() |
CSF2 Antibody (Center) (Cat. #P30830) flow cytometric analysis of HL-60 cells (right histogram) compared to a negative control cell (left histogram).FITC-conjugated goat-anti-rabbit secondary antibodies were used for the analysis. |
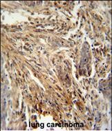
![]() |
CSF2 antibody (Center) (Cat. #P30830) immunohistochemistry analysis in formalin fixed and paraffin embedded human lung carcinoma followed by peroxidase conjugation of the secondary antibody and DAB staining. This data demonstrates the use of the CSF2 antibody (Center) for immunohistochemistry. Clinical relevance has not been evaluated. |
本公司的所有产品仅用于科学研究或者工业应用等非医疗目的,不可用于人类或动物的临床诊断或治疗,非药用,非食用。
暂无评论
本公司的所有产品仅用于科学研究或者工业应用等非医疗目的,不可用于人类或动物的临床诊断或治疗,非药用,非食用。
中文




发表回复