别名:PPP1R24应用:IHC
反应种属:Human, Mouse
规格:50μl/100μl
| Description |
|---|
| CSMD1 CUB and Sushi multiple domains 1 is a protein that in humans is encoded by the CSMD1gene. It is a potential tumour suppressor, the deletion of which may result in head and neck carcinomas behaving more aggressively. CSMD1 is part of the complement system that defends against pathogens through either the classical pathway or the alternative pathway. Located primarily in nerve growth cones, CSMD1 blocks the classical pathway of the immune system and is thought to be involved in tumor suppression, as defects in the gene encoding CSMD1 are associated with squamous cell carcinomas. |
| Specification | |
|---|---|
| Aliases | PPP1R24 |
| Swissprot | Q96PZ7 |
| Host/Isotype | Rabbit IgG |
| Storage | Store at 4°C short term. Aliquot and store at -20°C long term. Avoid freeze/thaw cycles. |
| Species Reactivity | Human, Mouse |
| Immunogen | Synthetic peptide of human CSMD1 |
| Formulation | pH7.4 PBS, 0.05% NaN3, 40% Glycerol |
| Application | |
|---|---|
| IHC | 1/50-1/200 |
| ELISA | 1/2000-1/5000 |
![]() |
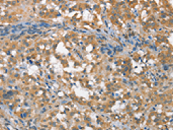
The image is immunohistochemistry of paraffin-embedded Human gasrtic cancer tissue using P11689(CSMD1 Antibody) at dilution 1/40. (Original magnification: ×200) |
![]() |
The image is immunohistochemistry of paraffin-embedded Human thyroid cancer tissue using P11689(CSMD1 Antibody) at dilution 1/40. (Original magnification: ×200) |
本公司的所有产品仅用于科学研究或者工业应用等非医疗目的,不可用于人类或动物的临床诊断或治疗,非药用,非食用。
暂无评论
本公司的所有产品仅用于科学研究或者工业应用等非医疗目的,不可用于人类或动物的临床诊断或治疗,非药用,非食用。
中文


发表回复