别名:CK1; CK1a; CKIa; HLCDGP1; PRO2975; HEL-S-77p应用:WB,IHC
反应种属:Human, Mouse
规格:50μl/100μl
| Description |
|---|
| Casein Kinase I (CK1 or CKI) is the name given to a family of kinases consisting of multiple isoforms (α, α’, β, γ1-3, δ, and ε) with a conserved N-terminal kinase domain and a variable C-terminal sequence that determines subcellular localization and regulates enzyme activity. |
| Specification | |
|---|---|
| Aliases | CK1; CK1a; CKIa; HLCDGP1; PRO2975; HEL-S-77p |
| Swissprot | P48729 |
| WB Predicted band size | 39 kDa |
| Host/Isotype | Rabbit IgG |
| Storage | Store at 4°C short term. Aliquot and store at -20°C long term. Avoid freeze/thaw cycles. |
| Species Reactivity | Human, Mouse |
| Immunogen | Synthetic peptide of human CSNK1A1 |
| Formulation | pH7.4 PBS, 0.05% NaN3, 40% Glycerol |
| Application | |
|---|---|
| WB | 1/200-1/1000 |
| IHC | 1/25-1/100 |
| ELISA | 1/1000-1/2000 |
![]() |
Gel: 8%SDS-PAGE, Lysate: 40 μg, Lane: A549 cells, Primary antibody: P03816(CSNK1A1 Antibody) at dilution 1/200, Secondary antibody: Goat anti rabbit IgG at 1/8000 dilution, Exposure time: 10 minutes |
![]() |
The image is immunohistochemistry of paraffin-embedded Human prostate cancer tissue using P03816(CSNK1A1 Antibody) at dilution 1/20. (Original magnification: ×200) |
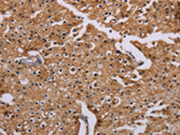
![]() |
The image is immunohistochemistry of paraffin-embedded Human brain tissue using P03816(CSNK1A1 Antibody) at dilution 1/20. (Original magnification: ×200) |
本公司的所有产品仅用于科学研究或者工业应用等非医疗目的,不可用于人类或动物的临床诊断或治疗,非药用,非食用。
暂无评论
本公司的所有产品仅用于科学研究或者工业应用等非医疗目的,不可用于人类或动物的临床诊断或治疗,非药用,非食用。
中文



发表回复