别名:NG2; MCSP; MCSPG; MSK16; CSPG4A; HMW-MAA; MEL-CSPG应用:WB,IHC
反应种属:Human, Mouse, Rat
规格:50μl/100μl
| Description |
|---|
| A human melanoma-associated chondroitin sulfate proteoglycan plays a role in stabilizing cell-substratum interactions during early events of melanoma cell spreading on endothelial basement membranes. CSPG4 represents an integral membrane chondroitin sulfate proteoglycan expressed by human malignant melanoma cells. |
| Specification | |
|---|---|
| Aliases | NG2; MCSP; MCSPG; MSK16; CSPG4A; HMW-MAA; MEL-CSPG |
| Swissprot | Q6UVK1 |
| WB Predicted band size | 251 kDa |
| Host/Isotype | Rabbit IgG |
| Storage | Store at 4°C short term. Aliquot and store at -20°C long term. Avoid freeze/thaw cycles. |
| Species Reactivity | Human, Mouse, Rat |
| Immunogen | Synthetic peptide of human CSPG4 |
| Formulation | pH7.4 PBS, 0.05% NaN3, 40% Glycerol |
| Application | |
|---|---|
| WB | 1/500-1/2000 |
| IHC | 1/50-1/100 |
| ELISA | 1/5000-1/10000 |
![]() |
Gel: 6%SDS-PAGE, Lysate: 40 μg, Lane 1-3: Mouse kidney tissue, Mouse lung tissue, Mouse brain tissue lysates, Primary antibody: P12329(CSPG4 Antibody) at dilution 1/500, Secondary antibody: Goat anti rabbit IgG at 1/5000 dilution, Exposure time: 5 minutes |
![]() |
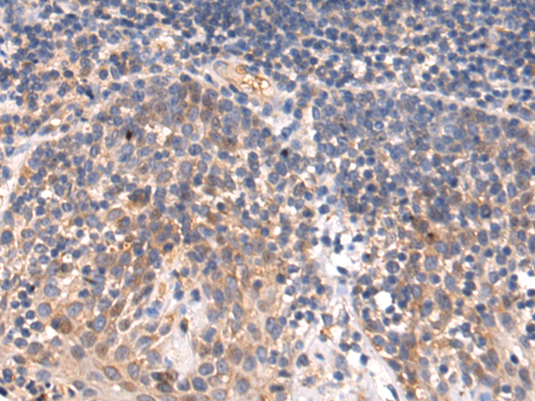
The image is immunohistochemistry of paraffin-embedded Human tonsil tissue using P12329(CSPG4 Antibody) at dilution 1/50. (Original magnification: ×200) |
![]() |
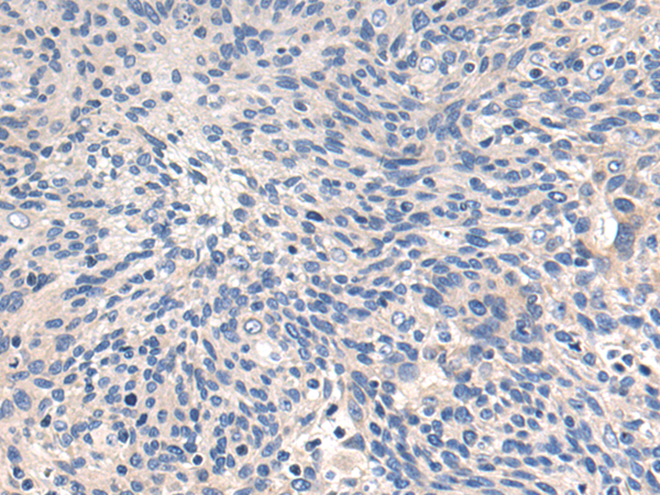
The image is immunohistochemistry of paraffin-embedded Human cervical cancer tissue using P12329(CSPG4 Antibody) at dilution 1/50. (Original magnification: ×200) |
本公司的所有产品仅用于科学研究或者工业应用等非医疗目的,不可用于人类或动物的临床诊断或治疗,非药用,非食用。
暂无评论
本公司的所有产品仅用于科学研究或者工业应用等非医疗目的,不可用于人类或动物的临床诊断或治疗,非药用,非食用。
中文



发表回复