别名:FCP1; CCFDN应用:WB,IHC
反应种属:Human, Mouse
规格:50μl/100μl
| Description |
|---|
| This gene encodes a protein which interacts with the carboxy-terminus of the RAP74 subunit of transcription initiation factor TFIIF, and functions as a phosphatase that processively dephosphorylates the C-terminus of POLR2A (a subunit of RNA polymerase II), making it available for initiation of gene expression. Mutations in this gene are associated with congenital cataracts, facial dysmorphism and neuropathy syndrome (CCFDN). Alternatively spliced transcript variants encoding different isoforms have been described for this gene. |
| Specification | |
|---|---|
| Aliases | FCP1; CCFDN |
| Swissprot | Q9Y5B0 |
| WB Predicted band size | 104 kDa |
| Host/Isotype | Rabbit IgG |
| Storage | Store at 4°C short term. Aliquot and store at -20°C long term. Avoid freeze/thaw cycles. |
| Species Reactivity | Human, Mouse |
| Immunogen | Synthetic peptide of human CTDP1 |
| Formulation | pH7.4 PBS, 0.05% NaN3, 40% Glycerol |
| Application | |
|---|---|
| WB | 1/500-1/2000 |
| IHC | 1/50-1/300 |
| ELISA | 1/5000-1/10000 |
![]() |
Gel: 6%SDS-PAGE, Lysate: 40 μg, Lane: HEPG2 cell lysate, Primary antibody: P06513(CTDP1 Antibody) at dilution 1/500, Secondary antibody: Goat anti rabbit IgG at 1/8000 dilution, Exposure time: 10 minutes |
![]() |
The image is immunohistochemistry of paraffin-embedded Human ovarian cancer tissue using P06513(CTDP1 Antibody) at dilution 1/55. (Original magnification: ×200) |
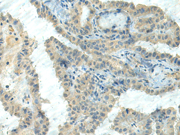
![]() |
The image is immunohistochemistry of paraffin-embedded Human thyroid cancer tissue using P06513(CTDP1 Antibody) at dilution 1/55. (Original magnification: ×200) |
本公司的所有产品仅用于科学研究或者工业应用等非医疗目的,不可用于人类或动物的临床诊断或治疗,非药用,非食用。
暂无评论
本公司的所有产品仅用于科学研究或者工业应用等非医疗目的,不可用于人类或动物的临床诊断或治疗,非药用,非食用。
中文



发表回复