别名:Catenin delta-2, Delta-catenin, GT24, Neural plakophilin-related ARM-repeat protein, NPRAP, Neurojungin, CTNND2, NPRAP应用:WB,IHC
反应种属:Human, Mouse
规格:50μl/100μl
| Description |
|---|
| This gene encodes an adhesive junction associated protein of the armadillo/beta-catenin superfamily and is implicated in brain and eye development and cancer formation. The protein encoded by this gene promotes the disruption of E-cadherin based adherens junction to favor cell spreading upon stimulation by hepatocyte growth factor. This gene is overexpressed in prostate adenocarcinomas and is associated with decreased expression of tumor suppressor E-cadherin in this tissue. This gene resides in a region of the short arm of chromosome 5 that is deleted in Cri du Chat syndrome. |
| Specification | |
|---|---|
| Aliases | Catenin delta-2, Delta-catenin, GT24, Neural plakophilin-related ARM-repeat protein, NPRAP, Neurojungin, CTNND2, NPRAP |
| Entrez GeneID | 1501 |
| Swissprot | Q9UQB3 |
| WB Predicted band size | 132.7kDa |
| Host/Isotype | Rabbit IgG |
| Storage | Store at 4°C short term. Aliquot and store at -20°C long term. Avoid freeze/thaw cycles. |
| Species Reactivity | Human, Mouse |
| Immunogen | This CTNND2 antibody is generated from rabbits immunized with a KLH conjugated synthetic peptide between 1131-1159 amino acids from the C-terminal region of human CTNND2. |
| Formulation | Purified polyclonal antibody supplied in PBS with 0.05% sodium azide. This antibody is purified through a protein A column, followed by peptide affinity purification. |
| Application | |
|---|---|
| WB | 1/1000 |
| IHC | 1/100-1/500 |
![]() |
CTNND2 Antibody (C-term) (Cat. #P31104) western blot analysis in MDA-MB435 cell line lysates (35ug/lane).This demonstrates the CTNND2 antibody detected the CTNND2 protein (arrow). |
![]() |
CTNND2 Antibody (C-term) (Cat. #P31104) western blot analysis in mouse lung tissue lysates (35ug/lane).This demonstrates the CTNND2 antibody detected the CTNND2 protein (arrow). |
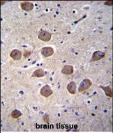
![]() |
CTNND2 Antibody (C-term) (Cat. #P31104)immunohistochemistry analysis in formalin fixed and paraffin embedded human brain tissue followed by peroxidase conjugation of the secondary antibody and DAB staining.This data demonstrates the use of CTNND2 Antibody (C-term) for immunohistochemistry. Clinical relevance has not been evaluated. |
本公司的所有产品仅用于科学研究或者工业应用等非医疗目的,不可用于人类或动物的临床诊断或治疗,非药用,非食用。
暂无评论
本公司的所有产品仅用于科学研究或者工业应用等非医疗目的,不可用于人类或动物的临床诊断或治疗,非药用,非食用。
中文



发表回复