别名:CTRB应用:WB,IHC
反应种属:Human, Mouse, Rat
规格:50μl/100μl
| Description |
|---|
| This gene encodes a member of the serine protease family of enzymes and forms a principal precursor of the pancreatic proteolytic enzymes. The encoded preproprotein is synthesized in the acinar cells of the pancreas and secreted into the small intestine where it undergoes proteolytic activation to generate a functional enzyme. This gene is located adjacent to a related chymotrypsinogen gene. This gene encodes distinct isoforms, some or all of which may undergo similar processing to generate the mature protein. |
| Specification | |
|---|---|
| Aliases | CTRB |
| Swissprot | P17538 |
| WB Predicted band size | 28 kDa |
| Host/Isotype | Rabbit IgG |
| Storage | Store at 4°C short term. Aliquot and store at -20°C long term. Avoid freeze/thaw cycles. |
| Species Reactivity | Human, Mouse, Rat |
| Immunogen | Fusion protein of human CTRB1 |
| Formulation | pH7.4 PBS, 0.05% NaN3, 40% Glycerol |
| Application | |
|---|---|
| WB | 1/1000-1/5000 |
| IHC | 1/20-1/100 |
| ELISA | 1/5000-1/10000 |
![]() |
Gel: 12%SDS-PAGE, Lysate: 40 μg, Lane 1-2: Mouse pancreas tissue and Rat pancreas tissue lysates, Primary antibody: P02878(CTRB1 Antibody) at dilution 1/1000, Secondary antibody: Goat anti rabbit IgG at 1/5000 dilution, Exposure time: 3 seconds |
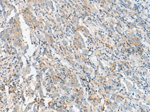
![]() |
The image is immunohistochemistry of paraffin-embedded Human cervical cancer tissue using P02878(CTRB1 Antibody) at dilution 1/60. (Original magnification: ×200) |
本公司的所有产品仅用于科学研究或者工业应用等非医疗目的,不可用于人类或动物的临床诊断或治疗,非药用,非食用。
暂无评论
本公司的所有产品仅用于科学研究或者工业应用等非医疗目的,不可用于人类或动物的临床诊断或治疗,非药用,非食用。
中文


发表回复