别名:CATSF; CLN13应用:IHC
反应种属:Human, Mouse
规格:50μl/100μl
| Description |
|---|
| Cathepsins are papain family cysteine proteinases that represent a major component of the lysosomal proteolytic system. Cathepsins generally contain a signal sequence, followed by a propeptide and then a catalytically active mature region. The very long (251 amino acid residues) proregion of the cathepsin F precursor contains a C-terminal domain similar to the pro-segment of cathepsin L-like enzymes, a 50-residue flexible linker peptide, and an N-terminal domain predicted to adopt a cystatin-like fold. The cathepsin F proregion is unique within the papain family cysteine proteases in that it contains this additional N-terminal segment predicted to share structural similarities with cysteine protease inhibitors of the cystatin superfamily. This cystatin-like domain contains some of the elements known to be important for inhibitory activity. CTSF encodes a predicted protein of 484 amino acids which contains a 19 residue signal peptide. Cathepsin F contains five potential N-glycosylation sites, and it may be targeted to the endosomal/lysosomal compartment via the mannose 6-phosphate receptor pathway. The cathepsin F gene is ubiquitously expressed, and it maps to chromosome 11q13, close to the gene encoding cathepsin W. |
| Specification | |
|---|---|
| Aliases | CATSF; CLN13 |
| Swissprot | Q9UBX1 |
| Host/Isotype | Rabbit IgG |
| Storage | Store at 4°C short term. Aliquot and store at -20°C long term. Avoid freeze/thaw cycles. |
| Species Reactivity | Human, Mouse |
| Immunogen | Synthetic peptide of human CTSF |
| Formulation | pH7.4 PBS, 0.05% NaN3, 40% Glycerol |
| Application | |
|---|---|
| IHC | 1/20-1/100 |
| ELISA | 1/5000-1/10000 |
![]() |
The image is immunohistochemistry of paraffin-embedded Human colorectal cancer tissue using P13022(CTSF Antibody) at dilution 1/25. (Original magnification: ×200) |
![]() |
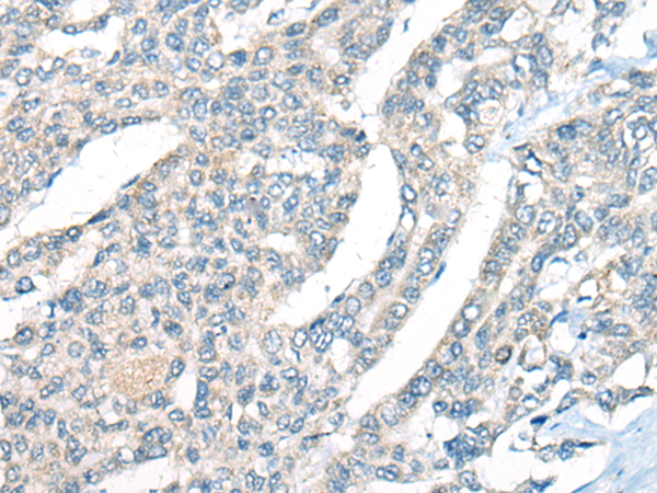
The image is immunohistochemistry of paraffin-embedded Human liver cancer tissue using P13022(CTSF Antibody) at dilution 1/25. (Original magnification: ×200) |
本公司的所有产品仅用于科学研究或者工业应用等非医疗目的,不可用于人类或动物的临床诊断或治疗,非药用,非食用。
暂无评论
本公司的所有产品仅用于科学研究或者工业应用等非医疗目的,不可用于人类或动物的临床诊断或治疗,非药用,非食用。
中文


发表回复