别名:V28; CCRL1; GPR13; CMKDR1; GPRV28; CMKBRL1应用:IHC
反应种属:Human
规格:50μl/100μl
| Description |
|---|
| Fractalkine is a transmembrane protein and chemokine involved in the adhesion and migration of leukocytes. The protein encoded by this gene is a receptor for fractalkine. The encoded protein also is a coreceptor for HIV-1, and some variations in this gene lead to increased susceptibility to HIV-1 infection and rapid progression to AIDS. Four transcript variants encoding two different isoforms have been found for this gene. |
| Specification | |
|---|---|
| Aliases | V28; CCRL1; GPR13; CMKDR1; GPRV28; CMKBRL1 |
| Swissprot | P49238 |
| Host/Isotype | Rabbit IgG |
| Storage | Store at 4°C short term. Aliquot and store at -20°C long term. Avoid freeze/thaw cycles. |
| Species Reactivity | Human |
| Immunogen | Synthetic peptide of human CX3CR1 |
| Formulation | pH7.4 PBS, 0.05% NaN3, 40% Glycerol |
| Application | |
|---|---|
| IHC | 1/50-1/100 |
| ELISA | 1/5000-1/10000 |
![]() |
The image is immunohistochemistry of paraffin-embedded Human prostate cancer tissue using P05748(CX3CR1 Antibody) at dilution 1/50. (Original magnification: ×200) |
![]() |
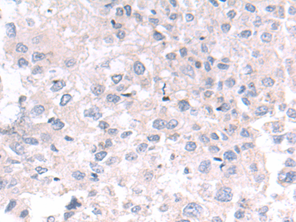
The image is immunohistochemistry of paraffin-embedded Human liver cancer tissue using P05748(CX3CR1 Antibody) at dilution 1/50. (Original magnification: ×200) |
本公司的所有产品仅用于科学研究或者工业应用等非医疗目的,不可用于人类或动物的临床诊断或治疗,非药用,非食用。
暂无评论
本公司的所有产品仅用于科学研究或者工业应用等非医疗目的,不可用于人类或动物的临床诊断或治疗,非药用,非食用。
中文


发表回复