别名:FSP; GRO1; GROa; MGSA; NAP-3; SCYB1; MGSA-a应用:IHC
反应种属:Human, Mouse, Rat
规格:50μl/100μl
| Description |
|---|
| This antimicrobial gene encodes a member of the CXC subfamily of chemokines. The encoded protein is a secreted growth factor that signals through the G-protein coupled receptor, CXC receptor 2. This protein plays a role in inflammation and as a chemoattractant for neutrophils. Aberrant expression of this protein is associated with the growth and progression of certain tumors. A naturally occurring processed form of this protein has increased chemotactic activity. Alternate splicing results in coding and non-coding variants of this gene. A pseudogene of this gene is found on chromosome 4. |
| Specification | |
|---|---|
| Aliases | FSP; GRO1; GROa; MGSA; NAP-3; SCYB1; MGSA-a |
| Swissprot | P09341 |
| Host/Isotype | Rabbit IgG |
| Storage | Store at 4°C short term. Aliquot and store at -20°C long term. Avoid freeze/thaw cycles. |
| Species Reactivity | Human, Mouse, Rat |
| Immunogen | Synthetic peptide of human CXCL1 |
| Formulation | pH7.4 PBS, 0.05% NaN3, 40% Glycerol |
| Application | |
|---|---|
| IHC | 1/50-1/100 |
| ELISA | 1/5000-1/10000 |
![]() |
The image is immunohistochemistry of paraffin-embedded Human breast cancer tissue using P12654(CXCL1 Antibody) at dilution 1/35. (Original magnification: ×200) |
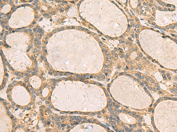
![]() |
The image is immunohistochemistry of paraffin-embedded Human thyroid cancer tissue using P12654(CXCL1 Antibody) at dilution 1/35. (Original magnification: ×200) |
本公司的所有产品仅用于科学研究或者工业应用等非医疗目的,不可用于人类或动物的临床诊断或治疗,非药用,非食用。
暂无评论
本公司的所有产品仅用于科学研究或者工业应用等非医疗目的,不可用于人类或动物的临床诊断或治疗,非药用,非食用。
中文


发表回复