别名:GCP2; CKA-3; GCP-2; SCYB6应用:IHC
反应种属:Human
规格:50μl/100μl
| Description |
|---|
| Chemotactic for neutrophil granulocytes. Signals through binding and activation of its receptors (CXCR1 and CXCR2). In addition to its chemotactic and angiogenic properties, it has strong antibacterial activity against Gram-positive and Gram-negative bacteria (90-fold-higher when compared to CXCL5 and CXCL7). |
| Specification | |
|---|---|
| Aliases | GCP2; CKA-3; GCP-2; SCYB6 |
| Swissprot | P80162 |
| Host/Isotype | Rabbit IgG |
| Storage | Store at 4°C short term. Aliquot and store at -20°C long term. Avoid freeze/thaw cycles. |
| Species Reactivity | Human |
| Immunogen | Synthetic peptide of human CXCL6 |
| Formulation | pH7.4 PBS, 0.05% NaN3, 40% Glycerol |
| Application | |
|---|---|
| IHC | 1/50-1/350 |
| ELISA | 1/5000-1/10000 |
![]() |
The image is immunohistochemistry of paraffin-embedded Human tonsil tissue using P05862(CXCL6 Antibody) at dilution 1/60. (Original magnification: ×200) |
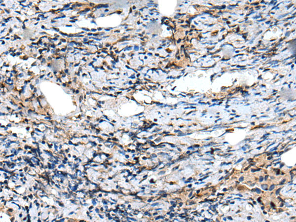
![]() |
The image is immunohistochemistry of paraffin-embedded Human prostate cancer tissue using P05862(CXCL6 Antibody) at dilution 1/60. (Original magnification: ×200) |
本公司的所有产品仅用于科学研究或者工业应用等非医疗目的,不可用于人类或动物的临床诊断或治疗,非药用,非食用。
暂无评论
本公司的所有产品仅用于科学研究或者工业应用等非医疗目的,不可用于人类或动物的临床诊断或治疗,非药用,非食用。
中文


发表回复