别名:Cytochrome c1, heme protein, mitochondrial, Complex III subunit 4, Complex III subunit IV, Cytochrome b-c1 complex subunit 4, Ubiquinol-cytochrome-c reductase complex cytochrome c1 subunit, Cytochrome c-1, CYC1应用:WB,IHC,FCM
反应种属:Human
规格:50μl/100μl
| Description |
|---|
| This is the heme-containing component of the cytochrome b-c1 complex, which accepts electrons from Rieske protein and transfers electrons to cytochrome c in the mitochondrial respiratory chain. |
| Specification | |
|---|---|
| Aliases | Cytochrome c1, heme protein, mitochondrial, Complex III subunit 4, Complex III subunit IV, Cytochrome b-c1 complex subunit 4, Ubiquinol-cytochrome-c reductase complex cytochrome c1 subunit, Cytochrome c-1, CYC1 |
| Entrez GeneID | 1537 |
| Swissprot | P08574 |
| WB Predicted band size | 35.4kDa |
| Host/Isotype | Rabbit IgG |
| Storage | Store at 4°C short term. Aliquot and store at -20°C long term. Avoid freeze/thaw cycles. |
| Species Reactivity | Human |
| Immunogen | This CYC1 antibody is generated from rabbits immunized with a KLH conjugated synthetic peptide between 259-287 amino acids from the C-terminal region of human CYC1. |
| Formulation | Purified polyclonal antibody supplied in PBS with 0.05% sodium azide. This antibody is purified through a protein A column, followed by peptide affinity purification. |
| Application | |
|---|---|
| WB | 1/1000 |
| IHC | 1/100-1/500 |
| FCM | 1/10-1/50 |
![]() |
CYC1 Antibody (C-term) (Cat. #P30668) western blot analysis in Hela,MCF-7 cell line lysates (35ug/lane).This demonstrates the CYC1 antibody detected the CYC1 protein (arrow). |
![]() |
CYC1 Antibody (C-term) (Cat. #P30668) flow cytometric analysis of Hela cells (right histogram) compared to a negative control cell (left histogram).FITC-conjugated goat-anti-rabbit secondary antibodies were used for the analysis. |
![]() |
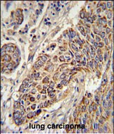
CYC1 Antibody (C-term) (Cat. #P30668) immunohistochemistry analysis in formalin fixed and paraffin embedded human lung carcinoma followed by peroxidase conjugation of the secondary antibody and DAB staining. This data demonstrates the use of the CYC1 Antibody (C-term) for immunohistochemistry. Clinical relevance has not been evaluated. |
本公司的所有产品仅用于科学研究或者工业应用等非医疗目的,不可用于人类或动物的临床诊断或治疗,非药用,非食用。
暂无评论
本公司的所有产品仅用于科学研究或者工业应用等非医疗目的,不可用于人类或动物的临床诊断或治疗,非药用,非食用。
中文



发表回复