别名:CCNE2; G1/S-specific cyclin-E2应用:WB,IHC,ICC,FCM
反应种属:Human,Mouse
规格:50μl/100μl
| Description |
|---|
| The human Cyclin E2 gene encodes a 404 amino acid protein that is most closely related to Cyclin E. Cyclin E2 mRNA levels peaks at the G1 / S transition. Cyclin E2 associates with Cdk2 in a functional kinase complex that is inhibited by both p27 (Kip1) and p21 (Cip1). Cyclin E2 / Cdk2 phosphorylates histone H1 in vitro. G1 cyclin E controls the initiation of DNA synthesis by activating CDK2. Abnormally high levels of cyclin E expression have frequently been observed in human cancers. |
| Specification | |
|---|---|
| Aliases | CCNE2; G1/S-specific cyclin-E2 |
| Entrez GeneID | 9134 |
| Swissprot | O96020 |
| WB Predicted band size | Calculated MW: 47 kDa; Observed MW: 47 kDa |
| Host/Isotype | Rabbit IgG |
| Storage | Store at 4°C short term. Aliquot and store at -20°C long term. Avoid freeze/thaw cycles. |
| Species Reactivity | Human,Mouse |
| Immunogen | A synthesized peptide derived from human Cyclin E2 |
| Formulation | Rabbit IgG in phosphate buffered saline , pH 7.4, 150mM NaCl, 0.02% sodium azide and 50% glycerol. |
| Application | |
|---|---|
| WB | 1/500-1/1000 |
| IHC | 1/50-1/100 |
| ICC | 1/50-1/200 |
| FCM | 1/50-1/100 |
![]() |
Western blot analysis of Cyclin E2 in HeLa lysates using Cyclin E2 antibody. |
![]() |
Immunofluorescence analysis of Cyclin E2 in Hela using Cyclin E2 antibody. |
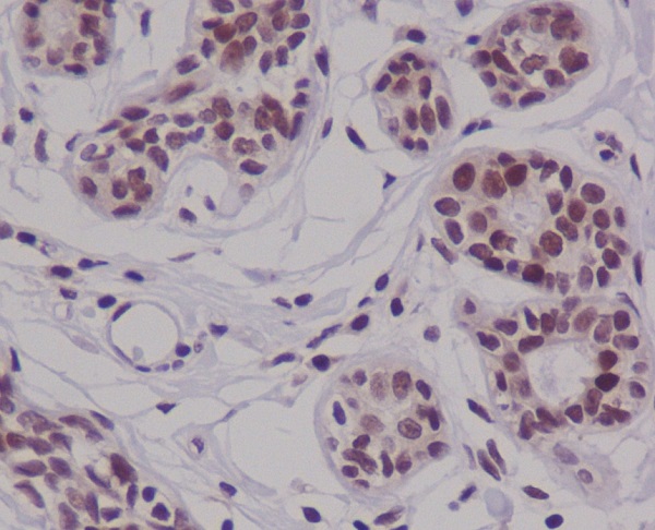
![]() |
Immunohistochemistry analysis of paraffin-embedded Human breast carcinoma using Cyclin E2 antibody.High-pressure and temperature Sodium Citrate pH 6.0 was used for antigen retrieval. |
本公司的所有产品仅用于科学研究或者工业应用等非医疗目的,不可用于人类或动物的临床诊断或治疗,非药用,非食用。
暂无评论
本公司的所有产品仅用于科学研究或者工业应用等非医疗目的,不可用于人类或动物的临床诊断或治疗,非药用,非食用。
中文



发表回复