别名:PTGS1; COX1; Prostaglandin G/H synthase 1; Cyclooxygenase-1; COX-1; Prostaglandin H2 synthase 1; PGH synthase 1; PGHS-1; PHS 1; Prostaglandin-endoperoxide synthase 1应用:WB,IHC,ICC,FCM,IP
反应种属:Human,Mouse,Rat
规格:50μl/100μl
| Description |
|---|
| Cyclooxygenase-1 May play an important role in regulating or promoting cell proliferation in some normal and neoplastically transformed cells. Belongs to the prostaglandin G/H synthase family. Homodimer. 2 isoforms of the human protein are produced by alternative splicing. |
| Specification | |
|---|---|
| Aliases | PTGS1; COX1; Prostaglandin G/H synthase 1; Cyclooxygenase-1; COX-1; Prostaglandin H2 synthase 1; PGH synthase 1; PGHS-1; PHS 1; Prostaglandin-endoperoxide synthase 1 |
| Entrez GeneID | 5742 |
| Swissprot | P23219 |
| WB Predicted band size | Calculated MW: 69 kDa; Observed MW: 69 kDa |
| Host/Isotype | Rabbit IgG |
| Storage | Store at 4°C short term. Aliquot and store at -20°C long term. Avoid freeze/thaw cycles. |
| Species Reactivity | Human,Mouse,Rat |
| Immunogen | A synthesized peptide derived from human COX1 |
| Formulation | Rabbit IgG in phosphate buffered saline , pH 7.4, 150mM NaCl, 0.02% sodium azide and 50% glycerol. |
| Application | |
|---|---|
| IP | 1/20 |
| WB | 1/500-1/1000 |
| IHC | 1/50-1/100 |
| ICC | 1/50-1/200 |
| FCM | 1/50-1/100 |
![]() |
Western blot analysis of COX1 in A431 lysates using Cyclooxygenase 1 antibody. |
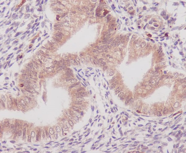
![]() |
Immunohistochemistry analysis of paraffin-embedded Human uterus using COX1 antibody.High-pressure and temperature Sodium Citrate pH 6.0 was used for antigen retrieval. |
本公司的所有产品仅用于科学研究或者工业应用等非医疗目的,不可用于人类或动物的临床诊断或治疗,非药用,非食用。
暂无评论
本公司的所有产品仅用于科学研究或者工业应用等非医疗目的,不可用于人类或动物的临床诊断或治疗,非药用,非食用。
中文


发表回复