别名:Cytochrome P450 2C9, 11413-, (R)-limonene 6-monooxygenase, (S)-limonene 6-monooxygenase, (S)-limonene 7-monooxygenase, CYPIIC9, Cytochrome P-450MP, Cytochrome P450 MP-4, Cytochrome P450 MP-8, Cytochrome P450 PB-1, S-mephenytoin 4-hydroxylase, CYP2C9, CYP2C10应用:WB,IHC
反应种属:Human
规格:50μl/100μl
| Description |
|---|
| CYP2C9 is a member of the cytochrome P450 superfamily of enzymes. The cytochrome P450 proteins are monooxygenases which catalyze many reactions involved in drug metabolism and synthesis of cholesterol, steroids and other lipids. The protein localizes to the endoplasmic reticulum and its expression is induced by rifampin. The enzyme is known to metabolize many xenobiotics, including phenytoin, tolbutamide, ibuprofen and S-warfarin. |
| Specification | |
|---|---|
| Aliases | Cytochrome P450 2C9, 11413-, (R)-limonene 6-monooxygenase, (S)-limonene 6-monooxygenase, (S)-limonene 7-monooxygenase, CYPIIC9, Cytochrome P-450MP, Cytochrome P450 MP-4, Cytochrome P450 MP-8, Cytochrome P450 PB-1, S-mephenytoin 4-hydroxylase, CYP2C9, CYP2C10 |
| Entrez GeneID | 1559 |
| Swissprot | P11712 |
| WB Predicted band size | 55.6kDa |
| Host/Isotype | Rabbit IgG |
| Storage | Store at 4°C short term. Aliquot and store at -20°C long term. Avoid freeze/thaw cycles. |
| Species Reactivity | Human |
| Immunogen | This CYP2C9 antibody is generated from rabbits immunized with a KLH conjugated synthetic peptide between 235-265 amino acids from the Central region of human CYP2C9. |
| Formulation | Purified polyclonal antibody supplied in PBS with 0.05% sodium azide. This antibody is prepared by Saturated Ammonium Sulfate (SAS) precipitation followed by dialysis against PBS. |
| Application | |
|---|---|
| WB | 1/1000 |
| IHC | 1/100-1/500 |
![]() |
Western blot analysis of anti-CYP2C9 Antibody (Center)(Cat.#P30335) in CEM cell line lysates (35ug/lane).CYP2C9(arrow) was detected using the purified Pab. |
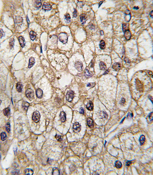
![]() |
Formalin-fixed and paraffin-embedded human hepatocarcinoma tissue reacted with CYP2C9 antibody (Center), which was peroxidase-conjugated to the secondary antibody, followed by DAB staining. This data demonstrates the use of this antibody for immunohistochemistry; clinical relevance has not been evaluated. |
本公司的所有产品仅用于科学研究或者工业应用等非医疗目的,不可用于人类或动物的临床诊断或治疗,非药用,非食用。
暂无评论
本公司的所有产品仅用于科学研究或者工业应用等非医疗目的,不可用于人类或动物的临床诊断或治疗,非药用,非食用。
中文


发表回复