别名:Cytochrome P450 2S1, CYPIIS1, CYP2S1应用:WB,IHC,ICC
反应种属:Human
规格:50μl/100μl
| Description |
|---|
| This gene encodes a member of the cytochrome P450 superfamily of enzymes. The cytochrome P450 proteins are monooxygenases which catalyze many reactions involved in drug metabolism and synthesis of cholesterol, steroids and other lipids. This protein localizes to the endoplasmic reticulum. In rodents, the homologous protein has been shown to metabolize certain carcinogens; however, the specific function of the human protein has not been determined. |
| Specification | |
|---|---|
| Aliases | Cytochrome P450 2S1, CYPIIS1, CYP2S1 |
| Entrez GeneID | 29785 |
| Swissprot | Q96SQ9 |
| WB Predicted band size | 55.8kDa |
| Host/Isotype | Rabbit IgG |
| Storage | Store at 4°C short term. Aliquot and store at -20°C long term. Avoid freeze/thaw cycles. |
| Species Reactivity | Human |
| Immunogen | This CYP2S1 antibody is generated from rabbits immunized with a KLH conjugated synthetic peptide between 399-428 amino acids from the C-terminal region of human CYP2S1. |
| Formulation | Purified polyclonal antibody supplied in PBS with 0.05% sodium azide. This antibody is purified through a protein A column, followed by peptide affinity purification. |
| Application | |
|---|---|
| WB | 1/1000 |
| IHC | 1/100-1/500 |
| ICC | 1/10-1/50 |
![]() |
Western blot analysis of lysate from BEAS 2B cell line, using CYP2S1 Antibody (C-term)(Cat. #P32656). P32656 was diluted at 1:1000. A goat anti-rabbit IgG H&L(HRP) at 1:5000 dilution was used as the secondary antibody. Lysate at 35ug. |
![]() |
CYP2S1 Antibody (C-term) (Cat. #P32656) western blot analysis in HepG2 cell line lysates (35ug/lane).This demonstrates the CYP2S1 antibody detected the CYP2S1 protein (arrow). |
![]() |
Confocal immunofluorescent analysis of CYP2S1 Antibody (C-term)(Cat#P32656) with HepG2 cell followed by Alexa Fluor® 488-conjugated goat anti-rabbit lgG (green). DAPI was used to stain the cell nuclear (blue). |
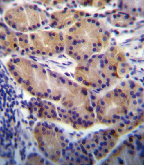
![]() |
CYP2S1 Antibody (C-term) (Cat. #P32656)immunohistochemistry analysis in formalin fixed and paraffin embedded human stomach tissue followed by peroxidase conjugation of the secondary antibody and DAB staining.This data demonstrates the use of CYP2S1 Antibody (C-term) for immunohistochemistry. Clinical relevance has not been evaluated. |
本公司的所有产品仅用于科学研究或者工业应用等非医疗目的,不可用于人类或动物的临床诊断或治疗,非药用,非食用。
暂无评论
本公司的所有产品仅用于科学研究或者工业应用等非医疗目的,不可用于人类或动物的临床诊断或治疗,非药用,非食用。
中文




发表回复