别名:Cystin-1, Cilia-associated protein, CYS1应用:WB,IHC
反应种属:Human, Mouse
规格:50μl/100μl
| Specification | |
|---|---|
| Aliases | Cystin-1, Cilia-associated protein, CYS1 |
| Entrez GeneID | 192668 |
| Swissprot | Q717R9 |
| WB Predicted band size | 16.4kDa |
| Host/Isotype | Rabbit IgG |
| Storage | Store at 4°C short term. Aliquot and store at -20°C long term. Avoid freeze/thaw cycles. |
| Species Reactivity | Human, Mouse |
| Immunogen | This CYS1 antibody is generated from a rabbit immunized with a KLH conjugated synthetic peptide between 142-177 amino acids from the C-terminal region of human CYS1. |
| Application | |
|---|---|
| WB | 1/1000 |
| IHC | 1/100-1/500 |
![]() |
Western blot analysis of lysates from human heart, human kidney and mouse kidney tissue lysate(from left to right), using CYS1 Antibody (C-term)(Cat. #P32669). P32669 was diluted at 1:1000 at each lane. A goat anti-rabbit IgG H&L(HRP) at 1:5000 dilution was used as the secondary antibody. Lysates at 35ug per lane. |
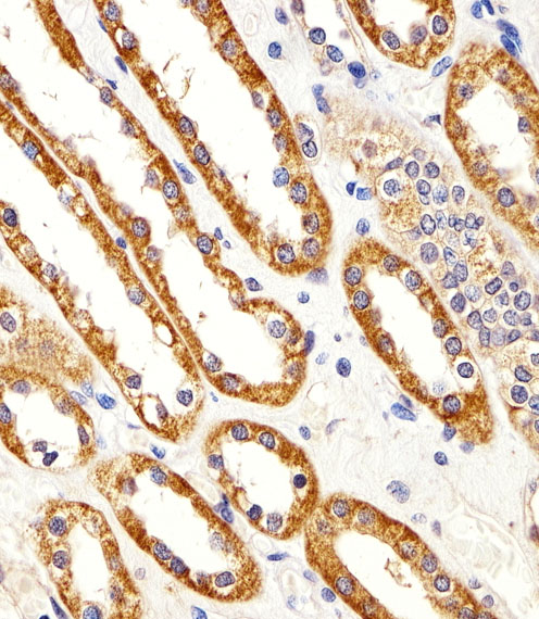
![]() |
Immunohistochemical analysis of paraffin-embedded H.kidney section using CYS1 Antibody (C-term)(Cat#P32669). P32669 was diluted at 1:25 dilution. A peroxidase-conjugated goat anti-rabbit IgG at 1:400 dilution was used as the secondary antibody, followed by DAB staining. |
本公司的所有产品仅用于科学研究或者工业应用等非医疗目的,不可用于人类或动物的临床诊断或治疗,非药用,非食用。
暂无评论
本公司的所有产品仅用于科学研究或者工业应用等非医疗目的,不可用于人类或动物的临床诊断或治疗,非药用,非食用。
中文


发表回复