别名:HG57; CYSLT2; GPCR21; HPN321; CYSLT2R; KPG_011; hGPCR21; PSEC0146应用:WB,IHC
反应种属:Human, Mouse
规格:50μl/100μl
| Description |
|---|
| The cysteinyl leukotrienes LTC4, LTD4, and LTE4 are important mediators of human bronchial asthma. Pharmacologic studies have determined that cysteinyl leukotrienes activate at least 2 receptors, the protein encoded by this gene and CYSLTR1. This encoded receptor is a member of the superfamily of G protein-coupled receptors. It seems to play a major role in endocrine and cardiovascular systems. |
| Specification | |
|---|---|
| Aliases | HG57; CYSLT2; GPCR21; HPN321; CYSLT2R; KPG_011; hGPCR21; PSEC0146 |
| Swissprot | Q9NS75 |
| WB Predicted band size | 40 kDa |
| Host/Isotype | Rabbit IgG |
| Storage | Store at 4°C short term. Aliquot and store at -20°C long term. Avoid freeze/thaw cycles. |
| Species Reactivity | Human, Mouse |
| Immunogen | Synthetic peptide of human CYSLTR2 |
| Formulation | pH7.4 PBS, 0.05% NaN3, 40% Glycerol |
| Application | |
|---|---|
| WB | 1/200-1/1000 |
| IHC | 1/20-1/100 |
| ELISA | 1/5000-1/10000 |
![]() |
Gel: 8%SDS-PAGE, Lysate: 40 μg, Lane: Mouse adrenal gland tissue lysate, Primary antibody: P13229(CYSLTR2 Antibody) at dilution 1/300, Secondary antibody: Goat anti rabbit IgG at 1/8000 dilution, Exposure time: 40 seconds |
![]() |
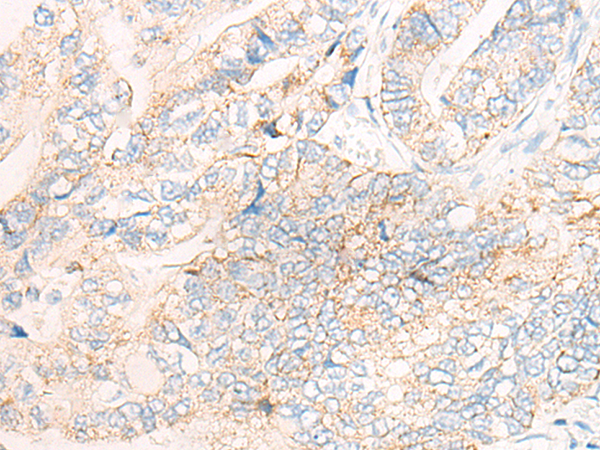
The image is immunohistochemistry of paraffin-embedded Human gastric cancer tissue using P13229(CYSLTR2 Antibody) at dilution 1/20. (Original magnification: ×200) |
![]() |
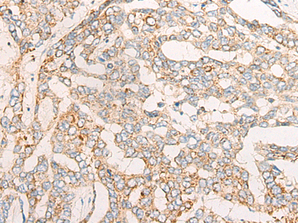
The image is immunohistochemistry of paraffin-embedded Human liver cancer tissue using P13229(CYSLTR2 Antibody) at dilution 1/20. (Original magnification: ×200) |
本公司的所有产品仅用于科学研究或者工业应用等非医疗目的,不可用于人类或动物的临床诊断或治疗,非药用,非食用。
暂无评论
本公司的所有产品仅用于科学研究或者工业应用等非医疗目的,不可用于人类或动物的临床诊断或治疗,非药用,非食用。
中文



发表回复