别名:CYCS; CYC; Cytochrome c应用:WB,IHC,IP
反应种属:Human,Mouse,Rat
规格:50μl/100μl
| Description |
|---|
| CYCS Electron carrier protein. The oxidized form of the cytochrome c heme group can accept an electron from the heme group of the cytochrome c1 subunit of cytochrome reductase. Cytochrome c then transfers this electron to the cytochrome oxidase complex, the final protein carrier in the mitochondrial electron-transport chain. |
| Specification | |
|---|---|
| Aliases | CYCS; CYC; Cytochrome c |
| Entrez GeneID | 54205 |
| Swissprot | P99999 |
| WB Predicted band size | Calculated MW: 12 kDa; Observed MW: 15 kDa |
| Host/Isotype | Rabbit IgG |
| Storage | Store at 4°C short term. Aliquot and store at -20°C long term. Avoid freeze/thaw cycles. |
| Species Reactivity | Human,Mouse,Rat |
| Immunogen | A synthesized peptide derived from human Cytochrome C |
| Formulation | Rabbit IgG in phosphate buffered saline , pH 7.4, 150mM NaCl, 0.02% sodium azide and 50% glycerol. |
| Application | |
|---|---|
| IP | 1/20 |
| WB | 1/500-1/1000 |
| IHC | 1/50-1/100 |
![]() |
Western blot analysis of Cytochrome C in HeLa lysates using Cytochrome C antibody. |
![]() |
Immunofluorescence analysis of Cytochrome C in Hela using Cytochrome C antibody. |
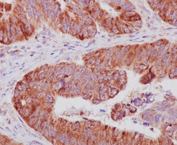
![]() |
Immunohistochemistry analysis of paraffin-embedded Human colonic cancer using Cytochrome C antibody.High-pressure and temperature Sodium Citrate pH 6.0 was used for antigen retrieval. |
本公司的所有产品仅用于科学研究或者工业应用等非医疗目的,不可用于人类或动物的临床诊断或治疗,非药用,非食用。
暂无评论
本公司的所有产品仅用于科学研究或者工业应用等非医疗目的,不可用于人类或动物的临床诊断或治疗,非药用,非食用。
中文



发表回复