别名:DPR1; FRODO; HDPR1; DAPPER; THYEX3; DAPPER1应用:IHC
反应种属:Human, Mouse
规格:50μl/100μl
| Description |
|---|
| The protein encoded by this gene belongs to the dapper family, characterized by the presence of PDZ-binding motif at the C-terminus. It interacts with, and positively regulates dishevelled-mediated signaling pathways during development. Depletion of this mRNA from xenopus embryos resulted in loss of notochord and head structures, and mice lacking this gene died shortly after birth from severe posterior malformations. Alternatively spliced transcript variants have been found for this gene. |
| Specification | |
|---|---|
| Aliases | DPR1; FRODO; HDPR1; DAPPER; THYEX3; DAPPER1 |
| Swissprot | Q9NYF0 |
| Host/Isotype | Rabbit IgG |
| Storage | Store at 4°C short term. Aliquot and store at -20°C long term. Avoid freeze/thaw cycles. |
| Species Reactivity | Human, Mouse |
| Immunogen | Synthetic peptide of human DACT1 |
| Formulation | pH7.4 PBS, 0.05% NaN3, 40% Glycerol |
| Application | |
|---|---|
| IHC | 1/20-1/100 |
| ELISA | 1/5000-1/10000 |
![]() |
The image is immunohistochemistry of paraffin-embedded Human colorectal cancer tissue using P13237(DACT1 Antibody) at dilution 1/20. (Original magnification: ×200) |
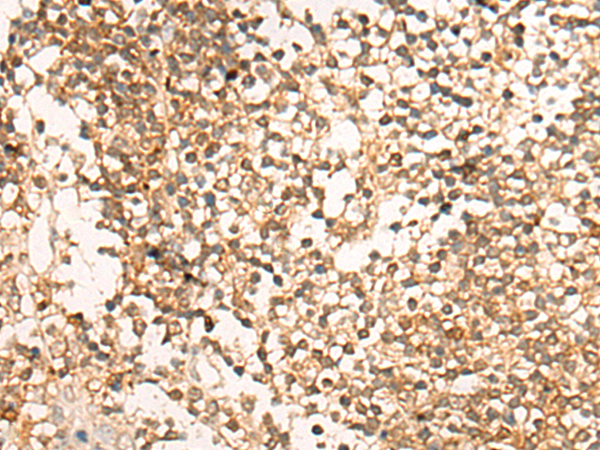
![]() |
The image is immunohistochemistry of paraffin-embedded Human tonsil tissue using P13237(DACT1 Antibody) at dilution 1/20. (Original magnification: ×200) |
本公司的所有产品仅用于科学研究或者工业应用等非医疗目的,不可用于人类或动物的临床诊断或治疗,非药用,非食用。
暂无评论
本公司的所有产品仅用于科学研究或者工业应用等非医疗目的,不可用于人类或动物的临床诊断或治疗,非药用,非食用。
中文


发表回复