别名:DAP-3, 4921514D13Rik应用:WB,IHC
反应种属:Human, Mouse
规格:50μl/100μl
| Description |
|---|
| 28S ribosomal protein S29, mitochondrial is a protein that in humans is encoded by the DAP3 gene. Mammalian mitochondrial ribosomal proteins are encoded by nuclear genes and help in protein synthesis within the mitochondrion. Mitochondrial ribosomes (mitoribosomes) consist of a small 28S subunit and a large 39S subunit. This protein potentially binds ATP/GTP and might be a functional partner of the mitoribosomal protein S27. Splice variants that differ in the 5′ UTR have been found for this gene; both variants encode the same protein. Pseudogenes corresponding to this gene are found on chromosomes 1q and 2q. DAP3 has been shown to interact with FADD, TNFRSF10A, Glucocorticoid receptor and Heat shock protein 90kDa alpha (cytosolic), member A1. |
| Specification | |
|---|---|
| Aliases | DAP-3, 4921514D13Rik |
| Swissprot | Q9ER88 |
| WB Predicted band size | 45 kDa |
| Host/Isotype | Rabbit IgG |
| Storage | Store at 4°C short term. Aliquot and store at -20°C long term. Avoid freeze/thaw cycles. |
| Species Reactivity | Human, Mouse |
| Immunogen | Synthetic peptide of mouse Dap3 |
| Formulation | pH7.4 PBS, 0.05% NaN3, 40% Glycerol |
| Application | |
|---|---|
| WB | 1/500-1/1000 |
| IHC | 1/10-1/50 |
| ELISA | 1/1000-1/5000 |
![]() |
Gel: 10%SDS-PAGE, Lysate: 30 μg, Lane 1-2: Hepg2 cells, Jurkat cells, Primary antibody: P03872(Dap3 Antibody) at dilution 1/450, Secondary antibody: Goat anti rabbit IgG at 1/8000 dilution, Exposure time: 1 minute |
![]() |
The image is immunohistochemistry of paraffin-embedded Human thyroid cancer tissue using P03872(Dap3 Antibody) at dilution 1/20. (Original magnification: ×200) |
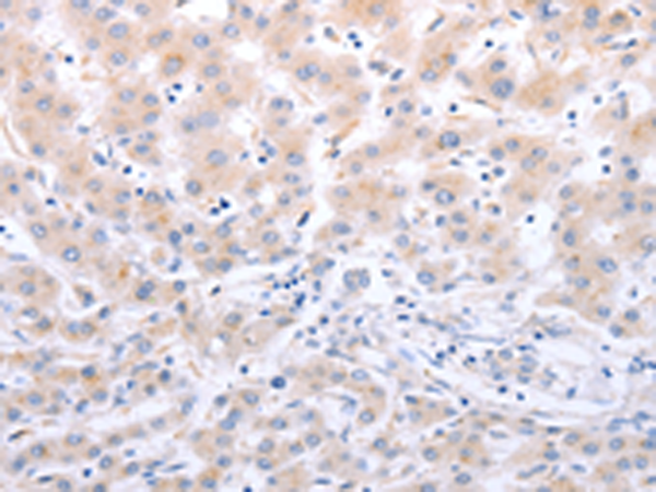
![]() |
The image is immunohistochemistry of paraffin-embedded Human liver cancer tissue using P03872(Dap3 Antibody) at dilution 1/20. (Original magnification: ×200) |
本公司的所有产品仅用于科学研究或者工业应用等非医疗目的,不可用于人类或动物的临床诊断或治疗,非药用,非食用。
暂无评论
本公司的所有产品仅用于科学研究或者工业应用等非医疗目的,不可用于人类或动物的临床诊断或治疗,非药用,非食用。
中文



发表回复