别名:DBM; ORTHYP1应用:WB,IHC
反应种属:Human, Mouse
规格:50μl/100μl
| Description |
|---|
| The protein encoded by this gene is an oxidoreductase belonging to the copper type II, ascorbate-dependent monooxygenase family. The encoded protein, expressed in neuroscretory vesicles and chromaffin granules of the adrenal medulla, catalyzes the conversion of dopamine to norepinephrine, which functions as both a hormone and as the main neurotransmitter of the sympathetic nervous system. The enzyme encoded by this gene exists exists in both soluble and membrane-bound forms, depending on the absence or presence, respectively, of a signal peptide. Mutations in this gene cause dopamine beta-hydroxylate deficiency in human patients, characterized by deficits in autonomic and cardiovascular function, including hypotension and ptosis. Polymorphisms in this gene may play a role in a variety of psychiatric disorders. |
| Specification | |
|---|---|
| Aliases | DBM; ORTHYP1 |
| Swissprot | P09172 |
| WB Predicted band size | 69 kDa |
| Host/Isotype | Rabbit IgG |
| Storage | Store at 4°C short term. Aliquot and store at -20°C long term. Avoid freeze/thaw cycles. |
| Species Reactivity | Human, Mouse |
| Immunogen | Fusion protein of human DBH |
| Formulation | pH7.4 PBS, 0.05% NaN3, 40% Glycerol |
| Application | |
|---|---|
| WB | 1/500-1/2000 |
| IHC | 1/50-1/200 |
| ELISA | 1/5000-1/10000 |
![]() |
Gel: 8%SDS-PAGE, Lysate: 40 μg, Lane: Mouse fetal liver tissue lysate, Primary antibody: P07241(DBH Antibody) at dilution 1/550, Secondary antibody: Goat anti rabbit IgG at 1/5000 dilution, Exposure time: 5 seconds |
![]() |
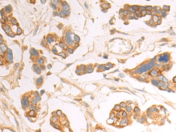
The image is immunohistochemistry of paraffin-embedded Human colorectal cancer tissue using P07241(DBH Antibody) at dilution 1/50. (Original magnification: ×200) |
![]() |
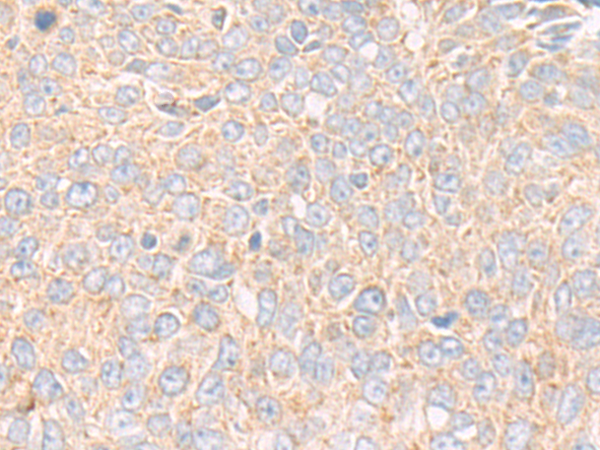
The image is immunohistochemistry of paraffin-embedded Human esophagus cancer tissue using P07241(DBH Antibody) at dilution 1/50. (Original magnification: ×200) |
本公司的所有产品仅用于科学研究或者工业应用等非医疗目的,不可用于人类或动物的临床诊断或治疗,非药用,非食用。
暂无评论
本公司的所有产品仅用于科学研究或者工业应用等非医疗目的,不可用于人类或动物的临床诊断或治疗,非药用,非食用。
中文



发表回复