别名:SPG28; PAPLA1; PA-PLA1应用:IHC
反应种属:Human
规格:50μl/100μl
| Description |
|---|
| This gene is a member of the intracellular phospholipase A1 gene family. The protein encoded by this gene preferentially hydrolyzes phosphatidic acid. It is a cytosolic protein with some mitochondrial localization, and is thought to be involved in the regulation of mitochondrial dynamics. Overexpression of this gene causes fragmentation of the tubular structures in mitochondria, while depletion of the gene results in mitochondrial tubule elongation. Deletion of this gene in male mice caused fertility defects, resulting from disruption in the organization of the mitochondria during spermiogenesis. In humans, mutations in this gene have been associated with hereditary spastic paraplegia (HSP), also known as Strumpell-Lorrain disease, or, familial spastic paraparesis (FSP). This inherited disorder is characterized by progressive weakness and spasticity of the legs. Alternative splicing results in multiple transcript variants encoding different isoforms. |
| Specification | |
|---|---|
| Aliases | SPG28; PAPLA1; PA-PLA1 |
| Swissprot | Q8NEL9 |
| Host/Isotype | Rabbit IgG |
| Storage | Store at 4°C short term. Aliquot and store at -20°C long term. Avoid freeze/thaw cycles. |
| Species Reactivity | Human |
| Immunogen | Synthetic peptide of human DDHD1 |
| Formulation | pH7.4 PBS, 0.05% NaN3, 40% Glycerol |
| Application | |
|---|---|
| IHC | 1/20-1/100 |
| ELISA | 1/5000-1/10000 |
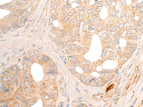
![]() |
The image is immunohistochemistry of paraffin-embedded Human liver cancer tissue using P06360(DDHD1 Antibody) at dilution 1/20. (Original magnification: ×200) |
![]() |
The image is immunohistochemistry of paraffin-embedded Human gastric cancer tissue using P06360(DDHD1 Antibody) at dilution 1/20. (Original magnification: ×200) |
本公司的所有产品仅用于科学研究或者工业应用等非医疗目的,不可用于人类或动物的临床诊断或治疗,非药用,非食用。
暂无评论
本公司的所有产品仅用于科学研究或者工业应用等非医疗目的,不可用于人类或动物的临床诊断或治疗,非药用,非食用。
中文


发表回复