别名:D-aspartate oxidase, DASOX, DDO, DDO应用:WB,IHC
反应种属:Human, Mouse
规格:50μl/100μl
| Description |
|---|
| DDO is a peroxisomal flavoprotein that catalyzes the oxidative deamination of D-aspartate and N-methyl D-aspartate. Flavin adenine dinucleotide or 6-hydroxyflavin adenine dinucleotide can serve as the cofactor in this reaction. |
| Specification | |
|---|---|
| Aliases | D-aspartate oxidase, DASOX, DDO, DDO |
| Entrez GeneID | 8528 |
| Swissprot | Q99489 |
| WB Predicted band size | 37.5kDa |
| Host/Isotype | Rabbit IgG |
| Storage | Store at 4°C short term. Aliquot and store at -20°C long term. Avoid freeze/thaw cycles. |
| Species Reactivity | Human, Mouse |
| Immunogen | This DDO antibody is generated from rabbits immunized with a KLH conjugated synthetic peptide between 102-130 amino acids from the Central region of human DDO. |
| Formulation | Purified polyclonal antibody supplied in PBS with 0.05% sodium azide. This antibody is purified through a protein A column, followed by peptide affinity purification. |
| Application | |
|---|---|
| WB | 1/1000 |
| IHC | 1/100-1/500 |
![]() |
Western blot analysis of DDO Antibody (Center) (Cat. #P30566) in NCI-H292 cell line lysates (35ug/lane). DDO (arrow) was detected using the purified Pab. |
![]() |
Western blot analysis of DDO Antibody (Center) (Cat. #P30566) in mouse brain tissue lysates (35ug/lane). DDO (arrow) was detected using the purified Pab. |
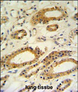
![]() |
DDO Antibody (Center) (Cat. #P30566) IHC analysis in formalin fixed and paraffin embedded lung tissue followed by peroxidase conjugation of the secondary antibody and DAB staining. This data demonstrates the use of the DDO Antibody (Center) for immunohistochemistry. Clinical relevance has not been evaluated. |
本公司的所有产品仅用于科学研究或者工业应用等非医疗目的,不可用于人类或动物的临床诊断或治疗,非药用,非食用。
暂无评论
本公司的所有产品仅用于科学研究或者工业应用等非医疗目的,不可用于人类或动物的临床诊断或治疗,非药用,非食用。
中文



发表回复