别名:Dectin-2; CLEC6A; CLECSF10; DECTIN2; C-type lectin domain family 6 member A; C-type lectin superfamily member 10; Dendritic cell-associated C-type lectin 2; DC-associated C-type lectin 2; Dectin-2应用:WB,IHC
反应种属:Human
规格:50μl/100μl
| Description |
|---|
| Like dectin-1 (CLEC7A; MIM 606264), CLEC6A, or dectin-2, is a type II membrane receptor with an extracellular C-type lectin-like domain fold. However, unlike dectin-1, dectin-2 lacks an immunoreceptor tyrosine-based activation motif (ITAM) in its cytoplasmic domain |
| Specification | |
|---|---|
| Aliases | Dectin-2; CLEC6A; CLECSF10; DECTIN2; C-type lectin domain family 6 member A; C-type lectin superfamily member 10; Dendritic cell-associated C-type lectin 2; DC-associated C-type lectin 2; Dectin-2 |
| Entrez GeneID | 93978 |
| Swissprot | Q6EIG7 |
| WB Predicted band size | Calculated MW: 24 kDa; Observed MW: 24 kDa |
| Host/Isotype | Rabbit IgG |
| Storage | Store at 4°C short term. Aliquot and store at -20°C long term. Avoid freeze/thaw cycles. |
| Species Reactivity | Human |
| Immunogen | Synthesized peptide derived from the Internal region of human Dectin-2. |
| Formulation | Liquid in PBS containing 50% glycerol, 0.5% BSA and 0.02% sodium azide, pH 7.3. |
| Application | |
|---|---|
| WB | 1/500-1/1000 |
| IHC | 1/50-1/100 |
| ELISA | 1/10000 |
![]() |
Western blot analysis of Dectin-2 in SH-SY5Y, 293T lysates using Dectin-2 antibody. |
![]() |
Western blot analysis of Dectin-2 in K562 lysates using Dectin-2 antibody. |
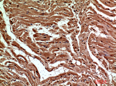
![]() |
Immunohistochemistry analysis of paraffin-embedded Human heart using Dectin-2 antibody. High-pressure and temperature Sodium Citrate pH 6.0 was used for antigen retrieval. |
本公司的所有产品仅用于科学研究或者工业应用等非医疗目的,不可用于人类或动物的临床诊断或治疗,非药用,非食用。
暂无评论
本公司的所有产品仅用于科学研究或者工业应用等非医疗目的,不可用于人类或动物的临床诊断或治疗,非药用,非食用。
中文



发表回复