别名:Beta-defensin 107, Beta-defensin 7, BD-7, DEFB-7, Defensin, beta 107, DEFB107A, DEFB107, DEFB7应用:WB,IHC
反应种属:Human
规格:50μl/100μl
| Description |
|---|
| Has antibacterial activity (Potential). |
| Specification | |
|---|---|
| Aliases | Beta-defensin 107, Beta-defensin 7, BD-7, DEFB-7, Defensin, beta 107, DEFB107A, DEFB107, DEFB7 |
| Entrez GeneID | 245910;503614 |
| Swissprot | Q8IZN7 |
| WB Predicted band size | 7.8kDa |
| Host/Isotype | Rabbit IgG |
| Storage | Store at 4°C short term. Aliquot and store at -20°C long term. Avoid freeze/thaw cycles. |
| Species Reactivity | Human |
| Immunogen | This DEFB107A antibody is generated from a rabbit immunized with a KLH conjugated synthetic peptide between 56-90 amino acids from the C-terminal region of human DEFB107A. |
| Application | |
|---|---|
| WB | 1/1000 |
| IHC | 1/100-1/500 |
![]() |
Western blot analysis of lysate from human testis tissue lysate, using DEFB107A Antibody (C-term)(Cat. #P32672). P32672 was diluted at 1:1000. A goat anti-rabbit IgG H&L(HRP) at 1:5000 dilution was used as the secondary antibody. Lysate at 35ug. |
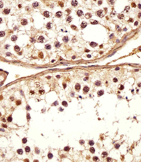
![]() |
Immunohistochemical analysis of paraffin-embedded H. testis section using DEFB107A Antibody (C-term)(Cat#P32672). P32672 was diluted at 1:25 dilution. A undiluted biotinylated goat polyvalent antibody was used as the secondary, followed by DAB staining. |
本公司的所有产品仅用于科学研究或者工业应用等非医疗目的,不可用于人类或动物的临床诊断或治疗,非药用,非食用。
暂无评论
本公司的所有产品仅用于科学研究或者工业应用等非医疗目的,不可用于人类或动物的临床诊断或治疗,非药用,非食用。
中文


发表回复