别名:MLD; DEGS; DES1; Des-1; FADS7; MIG15; DEGS-1应用:IHC
反应种属:Human
规格:50μl/100μl
| Description |
|---|
| This gene encodes a member of the membrane fatty acid desaturase family which is responsible for inserting double bonds into specific positions in fatty acids. This protein contains three His-containing consensus motifs that are characteristic of a group of membrane fatty acid desaturases. It is predicted to be a multiple membrane-spanning protein localized to the endoplasmic reticulum. Overexpression of this gene inhibited biosynthesis of the EGF receptor, suggesting a possible role of a fatty acid desaturase in regulating biosynthetic processing of the EGF receptor. |
| Specification | |
|---|---|
| Aliases | MLD; DEGS; DES1; Des-1; FADS7; MIG15; DEGS-1 |
| Swissprot | O15121 |
| Host/Isotype | Rabbit IgG |
| Storage | Store at 4°C short term. Aliquot and store at -20°C long term. Avoid freeze/thaw cycles. |
| Species Reactivity | Human |
| Immunogen | Synthetic peptide of human DEGS1 |
| Formulation | pH7.4 PBS, 0.05% NaN3, 40% Glycerol |
| Application | |
|---|---|
| IHC | 1/25-1/100 |
| ELISA | 1/5000-1/10000 |
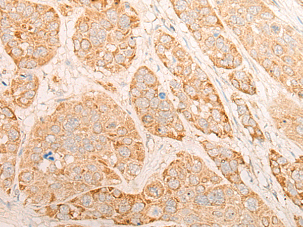
![]() |
The image is immunohistochemistry of paraffin-embedded Human liver cancer tissue using P13246(DEGS1 Antibody) at dilution 1/20. (Original magnification: ×200) |
![]() |
The image is immunohistochemistry of paraffin-embedded Human esophagus cancer tissue using P13246(DEGS1 Antibody) at dilution 1/20. (Original magnification: ×200) |
本公司的所有产品仅用于科学研究或者工业应用等非医疗目的,不可用于人类或动物的临床诊断或治疗,非药用,非食用。
暂无评论
本公司的所有产品仅用于科学研究或者工业应用等非医疗目的,不可用于人类或动物的临床诊断或治疗,非药用,非食用。
中文


发表回复