别名:DGK; DAGK2; DGK-BETA应用:IHC
反应种属:Human, Mouse, Rat
规格:50μl/100μl
| Description |
|---|
| Diacylglycerol kinases (DGKs) are regulators of the intracellular concentration of the second messenger diacylglycerol (DAG) and thus play a key role in cellular processes. Nine mammalian isotypes have been identified, which are encoded by separate genes. Mammalian DGK isozymes contain a conserved catalytic (kinase) domain and a cysteine-rich domain (CRD). The protein encoded by this gene is a diacylglycerol kinase, beta isotype. Two alternatively spliced transcript variants have been found for this gene. |
| Specification | |
|---|---|
| Aliases | DGK; DAGK2; DGK-BETA |
| Swissprot | Q9Y6T7 |
| Host/Isotype | Rabbit IgG |
| Storage | Store at 4°C short term. Aliquot and store at -20°C long term. Avoid freeze/thaw cycles. |
| Species Reactivity | Human, Mouse, Rat |
| Immunogen | Synthetic peptide of human DGKB |
| Formulation | pH7.4 PBS, 0.05% NaN3, 40% Glycerol |
| Application | |
|---|---|
| IHC | 1/50-1/200 |
| ELISA | 1/1000-1/5000 |
![]() |
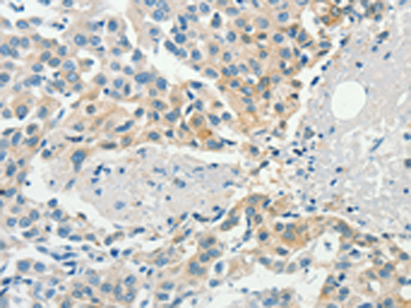
The image is immunohistochemistry of paraffin-embedded Human liver cancer tissue using P11522(DGKB Antibody) at dilution 1/60. (Original magnification: ×200) |
![]() |
The image is immunohistochemistry of paraffin-embedded Human breast cancer tissue using P11522(DGKB Antibody) at dilution 1/60. (Original magnification: ×200) |
本公司的所有产品仅用于科学研究或者工业应用等非医疗目的,不可用于人类或动物的临床诊断或治疗,非药用,非食用。
暂无评论
本公司的所有产品仅用于科学研究或者工业应用等非医疗目的,不可用于人类或动物的临床诊断或治疗,非药用,非食用。
中文


发表回复