别名:Dehydrogenase/reductase SDR family member 7C, 11–, DHRS7C应用:WB,IHC
反应种属:Human
规格:50μl/100μl
| Description |
|---|
| DHRS7C is a putative oxidoreductase (Potential). |
| Specification | |
|---|---|
| Aliases | Dehydrogenase/reductase SDR family member 7C, 11–, DHRS7C |
| Entrez GeneID | 201140 |
| Swissprot | A6NNS2 |
| WB Predicted band size | 34.9kDa |
| Host/Isotype | Rabbit IgG |
| Storage | Store at 4°C short term. Aliquot and store at -20°C long term. Avoid freeze/thaw cycles. |
| Species Reactivity | Human |
| Immunogen | This DHRS7C antibody is generated from rabbits immunized with a KLH conjugated synthetic peptide between 116-145 amino acids from the Central region of human DHRS7C. |
| Formulation | Purified polyclonal antibody supplied in PBS with 0.05% sodium azide. This antibody is purified through a protein A column, followed by peptide affinity purification. |
| Application | |
|---|---|
| WB | 1/1000 |
| IHC | 1/100-1/500 |
![]() |
DHRS7C Antibody (Center) (Cat. #P31340) western blot analysis in human placenta tissue lysates (35ug/lane).This demonstrates the DHRS7C antibody detected the DHRS7C protein (arrow). |
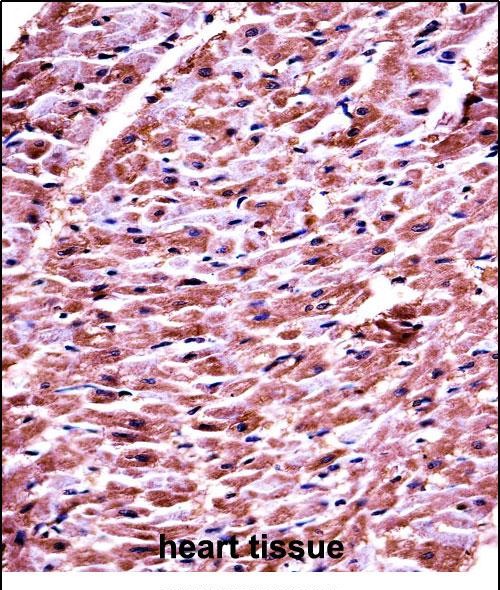
![]() |
DHRS7C Antibody (Center) (P31340)immunohistochemistry analysis in formalin fixed and paraffin embedded human heart tissue followed by peroxidase conjugation of the secondary antibody and DAB staining.This data demonstrates the use of DHRS7C Antibody (Center) for immunohistochemistry. Clinical relevance has not been evaluated. |
本公司的所有产品仅用于科学研究或者工业应用等非医疗目的,不可用于人类或动物的临床诊断或治疗,非药用,非食用。
暂无评论
本公司的所有产品仅用于科学研究或者工业应用等非医疗目的,不可用于人类或动物的临床诊断或治疗,非药用,非食用。
中文


发表回复