别名:Protein diaphanous homolog 2, Diaphanous-related formin-2, DRF2, DIAPH2, DIA应用:WB,IHC,FCM
反应种属:Human
规格:50μl/100μl
| Description |
|---|
| DIAPH2 belongs to the diaphanous subfamily of the formin homology family of proteins. This gene may play a role in the development and normal function of the ovaries. Defects in this protein have been linked to premature ovarian failure 2. |
| Specification | |
|---|---|
| Aliases | Protein diaphanous homolog 2, Diaphanous-related formin-2, DRF2, DIAPH2, DIA |
| Entrez GeneID | 1730 |
| Swissprot | O60879 |
| WB Predicted band size | 125.6kDa |
| Host/Isotype | Rabbit IgG |
| Storage | Store at 4°C short term. Aliquot and store at -20°C long term. Avoid freeze/thaw cycles. |
| Species Reactivity | Human |
| Immunogen | This DIAPH2 antibody is generated from rabbits immunized with a KLH conjugated synthetic peptide between 870-899 amino acids from the Central region of human DIAPH2. |
| Formulation | Purified polyclonal antibody supplied in PBS with 0.05% sodium azide. This antibody is purified through a protein A column, followed by peptide affinity purification. |
| Application | |
|---|---|
| WB | 1/1000 |
| IHC | 1/100-1/500 |
| FCM | 1/10-1/50 |
![]() |
Western blot analysis of DIAPH2 Antibody (Center) (Cat. #P30496) in 293, MDA-MB435 cell line lysates (35ug/lane). DIAPH2 (arrow) was detected using the purified Pab. |
![]() |
DIAPH2 Antibody (Center) (Cat. #P30496) flow cytometric analysis of CEM cells (right histogram) compared to a negative control cell (left histogram).FITC-conjugated goat-anti-rabbit secondary antibodies were used for the analysis. |
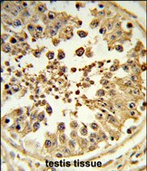
![]() |
Formalin-fixed and paraffin-embedded human testis tissue reacted with DIAPH2 Antibody (Center), which was peroxidase-conjugated to the secondary antibody, followed by DAB staining. This data demonstrates the use of this antibody for immunohistochemistry; clinical relevance has not been evaluated. |
本公司的所有产品仅用于科学研究或者工业应用等非医疗目的,不可用于人类或动物的临床诊断或治疗,非药用,非食用。
暂无评论
本公司的所有产品仅用于科学研究或者工业应用等非医疗目的,不可用于人类或动物的临床诊断或治疗,非药用,非食用。
中文



发表回复