别名:Coiled-coil domain-containing protein 85B, Hepatitis delta antigen-interacting protein A, Delta-interacting protein A, CCDC85B, DIPA应用:WB,IHC,FCM
反应种属:Human
规格:50μl/100μl
| Description |
|---|
| DIPA functions as a transcriptional repressor. It may inhibit the activity of CTNNB1 in a TP53-dependent manner and thus regulate cell growth. It may function in adipocyte differentiation, negatively regulating mitotic clonal expansion. |
| Specification | |
|---|---|
| Aliases | Coiled-coil domain-containing protein 85B, Hepatitis delta antigen-interacting protein A, Delta-interacting protein A, CCDC85B, DIPA |
| Entrez GeneID | 11007 |
| Swissprot | Q15834 |
| WB Predicted band size | 22.1kDa |
| Host/Isotype | Rabbit IgG |
| Storage | Store at 4°C short term. Aliquot and store at -20°C long term. Avoid freeze/thaw cycles. |
| Species Reactivity | Human |
| Immunogen | This DIPA antibody is generated from rabbits immunized with a KLH conjugated synthetic peptide between 69-96 amino acids from the Central region of human DIPA. |
| Formulation | Purified polyclonal antibody supplied in PBS with 0.05% sodium azide. This antibody is prepared by Saturated Ammonium Sulfate (SAS) precipitation followed by dialysis against PBS. |
| Application | |
|---|---|
| WB | 1/1000 |
| IHC | 1/100-1/500 |
| FCM | 1/10-1/50 |
![]() |
Western blot analysis of DIPA Antibody (Center) (Cat. #P30458) in HepG2 cell line lysates (35ug/lane). DIPA (arrow) was detected using the purified Pab. |
![]() |
DIPA Antibody (Center) (Cat. #P30458) flow cytometric analysis of HepG2 cells (right histogram) compared to a negative control cell (left histogram).FITC-conjugated goat-anti-rabbit secondary antibodies were used for the analysis. |
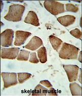
![]() |
Formalin-fixed and paraffin-embedded human skeletal muscle reacted with DIPA Antibody (Center), which was peroxidase-conjugated to the secondary antibody, followed by DAB staining. This data demonstrates the use of this antibody for immunohistochemistry; clinical relevance has not been evaluated. |
本公司的所有产品仅用于科学研究或者工业应用等非医疗目的,不可用于人类或动物的临床诊断或治疗,非药用,非食用。
暂无评论
本公司的所有产品仅用于科学研究或者工业应用等非医疗目的,不可用于人类或动物的临床诊断或治疗,非药用,非食用。
中文



发表回复