别名:DIA1R; CXorf36; PRO3743; EPQL1862; bA435K1.1; 4930578C19Rik应用:WB,IHC
反应种属:Human, Mouse
规格:50μl/100μl
| Description |
|---|
| The function of this protein remains unknown. |
| Specification | |
|---|---|
| Aliases | DIA1R; CXorf36; PRO3743; EPQL1862; bA435K1.1; 4930578C19Rik |
| Swissprot | Q9H7Y0 |
| WB Predicted band size | 49 kDa |
| Host/Isotype | Rabbit IgG |
| Storage | Store at 4°C short term. Aliquot and store at -20°C long term. Avoid freeze/thaw cycles. |
| Species Reactivity | Human, Mouse |
| Immunogen | Synthetic peptide of human DIPK2B |
| Formulation | pH7.4 PBS, 0.05% NaN3, 40% Glycerol |
| Application | |
|---|---|
| WB | 1/200-1/1000 |
| IHC | 1/25-1/100 |
| ELISA | 1/5000-1/10000 |
![]() |
Gel: 8%SDS-PAGE, Lysate: 40 μg, Lane: Hela cell, Primary antibody: P04806(DIPK2B Antibody) at dilution 1/200, Secondary antibody: Goat anti rabbit IgG at 1/8000 dilution, Exposure time: 40 seconds |
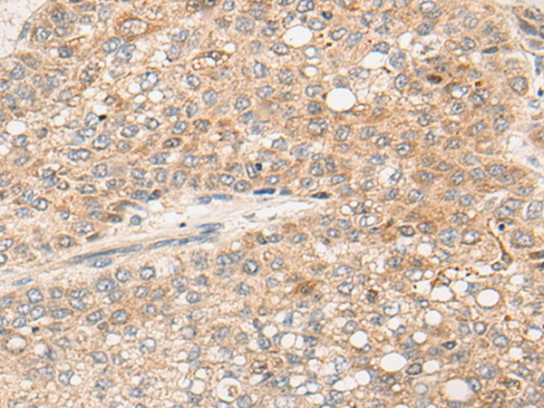
![]() |
The image is immunohistochemistry of paraffin-embedded Human liver cancer tissue using P04806(DIPK2B Antibody) at dilution 1/30. (Original magnification: ×200) |
本公司的所有产品仅用于科学研究或者工业应用等非医疗目的,不可用于人类或动物的临床诊断或治疗,非药用,非食用。
暂无评论
本公司的所有产品仅用于科学研究或者工业应用等非医疗目的,不可用于人类或动物的临床诊断或治疗,非药用,非食用。
中文


发表回复