别名:Dickkopf-related protein 2, Dickkopf-2, Dkk-2, hDkk-2, DKK2应用:WB,IHC
反应种属:Human, Mouse
规格:50μl/100μl
| Description |
|---|
| The 259-amino acid DKK2 protein, like DKK1, DKK3, and DKK4, possesses an N-terminal signal peptide and 2 conserved cysteine-rich domains, which are separated by a linker region and contain 10 cys residues each. The second cys region has a putative lipid-binding function that may facilitate WNT/DKK interactions at the plasma membrane. The linker region contains 50 to 55 amino acids in DKK1, DKK2, and DKK4, whereas in DKK3 it contains only 12 amino acids. All DKKs have several potential sites for cleavage by furin-type proteases. Northern blot analysis revealed expression of 4.0- and 4.5-kb DKK2 transcripts in heart, brain, skeletal muscle, and lung. Western blot analysis showed that DKK2 is secreted as a 15- to 17-kD protein. Functional analysis determined that DKK2 does not block Xenopus Wnt8 induction of a secondary axis in frog embryos. |
| Specification | |
|---|---|
| Aliases | Dickkopf-related protein 2, Dickkopf-2, Dkk-2, hDkk-2, DKK2 |
| Entrez GeneID | 27123 |
| Swissprot | Q9UBU2 |
| WB Predicted band size | 28.4kDa |
| Host/Isotype | Rabbit IgG |
| Storage | Store at 4°C short term. Aliquot and store at -20°C long term. Avoid freeze/thaw cycles. |
| Species Reactivity | Human, Mouse |
| Immunogen | This DKK2 antibody is generated from rabbits immunized with a KLH conjugated synthetic peptide between 31-62 amino acids from the N-terminal region of human DKK2. |
| Formulation | Purified polyclonal antibody supplied in PBS with 0.05% sodium azide. This antibody is prepared by Saturated Ammonium Sulfate (SAS) precipitation followed by dialysis against PBS. |
| Application | |
|---|---|
| WB | 1/1000 |
| IHC | 1/100-1/500 |
![]() |
The anti-DKK2 Pab (Cat. #P30006) is used in Western blot to detect DKK2 in Jurkat cell lysate. |
![]() |
Western blot analysis of DKK2 (arrow) using DKK2 Antibody (N-term) (Cat.#P30006). 293 cell lysates (2 ug/lane) either nontransfected (Lane 1) or transiently transfected with the DKK2 gene (Lane 2) (Origene Technologies). |
![]() |
DKK2 Antibody (T46) (Cat. #P30006) western blot analysis in mouse brain tissue lysates (35ug/lane).This demonstrates the DKK2 antibody detected the DKK2 protein (arrow). |
![]() |
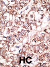
Formalin-fixed and paraffin-embedded human cancer tissue reacted with the primary antibody, which was peroxidase-conjugated to the secondary antibody, followed by DAB staining. This data demonstrates the use of this antibody for immunohistochemistry; clinical relevance has not been evaluated. BC = breast carcinoma; HC = hepatocarcinoma. |
本公司的所有产品仅用于科学研究或者工业应用等非医疗目的,不可用于人类或动物的临床诊断或治疗,非药用,非食用。
暂无评论
本公司的所有产品仅用于科学研究或者工业应用等非医疗目的,不可用于人类或动物的临床诊断或治疗,非药用,非食用。
中文




发表回复