别名:DLK-2; EGFL9应用:IHC
反应种属:Human, Mouse, Rat
规格:50μl/100μl
| Description |
|---|
| DLK2 (delta homolog 2), also known as EGFL9 (Epidermal growth factor-like protein 9), is a 383 amino acid single-pass transmembrane protein with six tandem EGF-like repeats in the putative extracellular domain, which is characteristic of the EGF-like protein family. DLK2 shares nearly identical structural features with DLK, suggesting that it may function in a similar way. Like DLK, DLK2 affects adipogenesis of 3T3-L1 preadipocytes and mesenchymal C3H10T1/2 cells, yet it does so in an opposite way to that of DLK. Also, expression of DLK and DLK2 are inversely correlated and changes in expression of one gene will affect the expression levels of the other. Therefore, it is likely that adipogenesis is modulated by the coordinated expression of DLK and DLK2. There are two isoforms of DLK2 that are produced as a result of alternative splicing events. |
| Specification | |
|---|---|
| Aliases | DLK-2; EGFL9 |
| Swissprot | Q6UY11 |
| Host/Isotype | Rabbit IgG |
| Storage | Store at 4°C short term. Aliquot and store at -20°C long term. Avoid freeze/thaw cycles. |
| Species Reactivity | Human, Mouse, Rat |
| Immunogen | Synthetic peptide of human DLK2 |
| Formulation | pH7.4 PBS, 0.05% NaN3, 40% Glycerol |
| Application | |
|---|---|
| IHC | 1/20-1/100 |
| ELISA | 1/2000-1/5000 |
![]() |
The image is immunohistochemistry of paraffin-embedded Human tonsil tissue using P05845(DLK2 Antibody) at dilution 1/25. (Original magnification: ×200) |
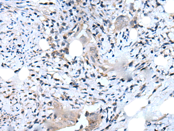
![]() |
The image is immunohistochemistry of paraffin-embedded Human cervical cancer tissue using P05845(DLK2 Antibody) at dilution 1/25. (Original magnification: ×200) |
本公司的所有产品仅用于科学研究或者工业应用等非医疗目的,不可用于人类或动物的临床诊断或治疗,非药用,非食用。
暂无评论
本公司的所有产品仅用于科学研究或者工业应用等非医疗目的,不可用于人类或动物的临床诊断或治疗,非药用,非食用。
中文


发表回复