别名:Homeobox protein DLX-2, DLX2应用:WB,IHC
反应种属:Human, Mouse
规格:50μl/100μl
| Description |
|---|
| DLX2 is likely to play a regulatory role in the development of the ventral forebrain. It may play a role in craniofacial patterning and morphogenesis. Subcellular location: Nucleus (Potential). |
| Specification | |
|---|---|
| Aliases | Homeobox protein DLX-2, DLX2 |
| Entrez GeneID | 1746 |
| Swissprot | Q07687 |
| WB Predicted band size | 34.2kDa |
| Host/Isotype | Rabbit IgG |
| Storage | Store at 4°C short term. Aliquot and store at -20°C long term. Avoid freeze/thaw cycles. |
| Species Reactivity | Human, Mouse |
| Immunogen | This DLX2 antibody is generated from rabbits immunized with a KLH conjugated synthetic peptide between 194-222 amino acids from the Central region of human DLX2. |
| Formulation | Purified polyclonal antibody supplied in PBS with 0.05% sodium azide. This antibody is purified through a protein A column, followed by peptide affinity purification. |
| Application | |
|---|---|
| WB | 1/1000 |
| IHC | 1/100-1/500 |
![]() |
Western blot analysis of DLX2 Antibody (Center) (Cat. #P30420) in 293 cell line lysates (35ug/lane). DLX2 (arrow) was detected using the purified Pab. |
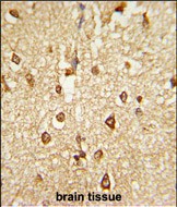
![]() |
Formalin-fixed and paraffin-embedded human brain tissue reacted with DLX2 Antibody (Center), which was peroxidase-conjugated to the secondary antibody, followed by DAB staining. This data demonstrates the use of this antibody for immunohistochemistry; clinical relevance has not been evaluated. |
本公司的所有产品仅用于科学研究或者工业应用等非医疗目的,不可用于人类或动物的临床诊断或治疗,非药用,非食用。
暂无评论
本公司的所有产品仅用于科学研究或者工业应用等非医疗目的,不可用于人类或动物的临床诊断或治疗,非药用,非食用。
中文


发表回复