别名:EAF2; SWC4; MEAF2; DNMAP1; DNMTAP1应用:WB,IHC
反应种属:Human, Mouse
规格:50μl/100μl
| Description |
|---|
| This gene encodes a subunit of several, distinct complexes involved in the repression or activation of transcription. The encoded protein can independently repress transcription and is targeted to replication foci throughout S phase by interacting directly with the N-terminus of DNA methyltransferase 1. During late S phase, histone deacetylase 2 is added to this complex, providing a means to deacetylate histones in transcriptionally inactive heterochromatin following replication. The encoded protein is also a component of the nucleosome acetyltransferase of H4 complex and interacts with the transcriptional corepressor tumor susceptibility gene 101 and the pro-apoptotic death-associated protein 6, among others. Alternatively spliced transcript variants encoding the same protein have been described. |
| Specification | |
|---|---|
| Aliases | EAF2; SWC4; MEAF2; DNMAP1; DNMTAP1 |
| Swissprot | Q9NPF5 |
| WB Predicted band size | 53 kDa |
| Host/Isotype | Rabbit IgG |
| Storage | Store at 4°C short term. Aliquot and store at -20°C long term. Avoid freeze/thaw cycles. |
| Species Reactivity | Human, Mouse |
| Immunogen | Synthetic peptide of human DMAP1 |
| Formulation | pH7.4 PBS, 0.05% NaN3, 40% Glycerol |
| Application | |
|---|---|
| WB | 1/200-1/1000 |
| IHC | 1/25-1/100 |
| ELISA | 1/5000-1/10000 |
![]() |
Gel: 8%SDS-PAGE, Lysate: 40 μg, Lane 1-2: RAW and NIH/3T3 cell lysates, Primary antibody: P13273(DMAP1 Antibody) at dilution 1/350, Secondary antibody: Goat anti rabbit IgG at 1/8000 dilution, Exposure time: 5 seconds |
![]() |
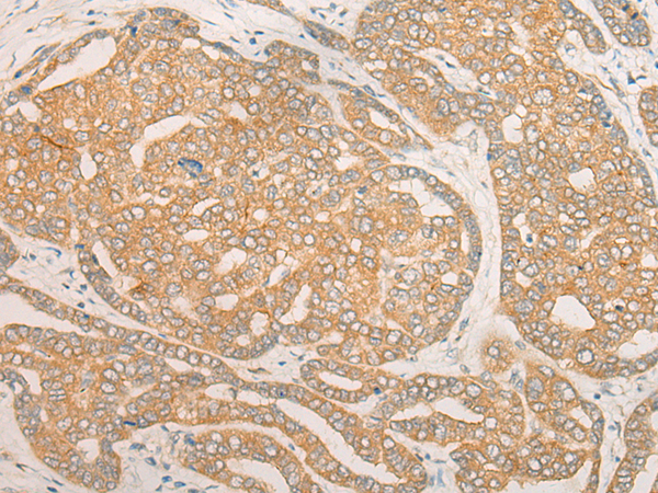
The image is immunohistochemistry of paraffin-embedded Human liver cancer tissue using P13273(DMAP1 Antibody) at dilution 1/25. (Original magnification: ×200) |
![]() |
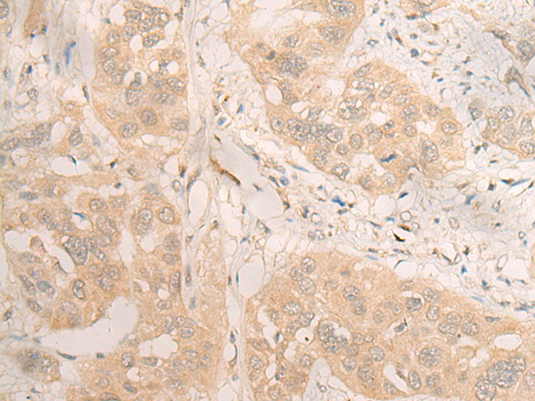
The image is immunohistochemistry of paraffin-embedded Human esophagus cancer tissue using P13273(DMAP1 Antibody) at dilution 1/25. (Original magnification: ×200) |
本公司的所有产品仅用于科学研究或者工业应用等非医疗目的,不可用于人类或动物的临床诊断或治疗,非药用,非食用。
暂无评论
本公司的所有产品仅用于科学研究或者工业应用等非医疗目的,不可用于人类或动物的临床诊断或治疗,非药用,非食用。
中文



发表回复